Уменьшение объема гиппокампа в картине гипоксически-ишемического поражения головного мозга: неоднозначность природы и возможная связь с эпилептогенезом
СтатьиП.А. Романов1, д-р мед. наук, П.Л. Соколов1, д-р мед. наук, Н.А. Шолохова2,3, д-р мед. наук, А.И. Крапивкин1, 4
1 ГБУЗ «НПЦ специализированной медицинской помощи детям Департамента здравоохранения г. Москвы»
2 ФГБОУ ДПО «Российская медицинская академия непрерывного профессионального образования», Минздрава России, г. Москва
3 ФГАОУ ВО «Российский национальный исследовательский медицинский университет им. Н.И. Пирогова» Минздрава России, г. Москва
4 ФГАОУ ВО «Российский национальный исследовательский медицинский университет им. Н.И. Пирогова» Минздрава России, г. Москва
Ключевые слова: гипоксически-ишемическая энцефалопатия, гиппокамп, МРТ, судороги
Keywords: hypoxic-ischemic encephalopathy, hippocampus, MRI, seizures
Резюме. Гипоксически-ишемическое поражение является одним из основных приобретенных неонатальных повреждений головного мозга с риском развития серьезных неврологических последствий и летального исхода. У младенцев с тяжелой гипоксией-ишемией уровень смертности в неонатальном периоде составляет от 25 до 50%. Упоминание гипоксически-ишемического поражения именно гиппокампов в доступной литературе встречается редко, и вопрос детально не исследовался. Механизмы поражения ткани гиппокампа неспецифичны и характерны для формирования гипоксически-ишемических изменений в любом другом отделе мозга. Целью работы было описание уменьшения объема гиппокампа как нейровизуализационного феномена при различной степени выраженности гипоксически-ишемических поражениях мозга. Исследованную группу составили 164 ребенка с гипоксически-ишемическими изменениями на МРТ, 84 пациента мужского пола и 80 - женского. В возрасте от 0 до 10 дней - 97 пациентов, в возрасте от 10 дней до 3 мес - 67 детей. С целью проведения анализа фиксировались состояние ребенка при рождении, состояние сознания, наличие судорог, а также наличие у матери соматической либо акушерско-гинекологической патологии и особенности протекания родов. МР-исследования проводились в стандартных режимах. По выраженности и характеру гипоксически-ишемических изменений в мозге исследованная группа была распределена на четыре подгруппы.
Данные проведенного исследования показали, что уменьшение объемов гиппокампа отмечены в четверти случаев наличия гипоксически-ишемических изменений в мозге любой выраженности. Наибольший риск его выявления имеется при наибольшей выраженности гипоксически-ишемических изменений и при расширении ликворосодержащих пространств - независимо от тяжести гипоксически-ишемических изменений. Выявлена достоверная связь поражения гиппокампа с наличием неонатальных судорог. Данный нейровизуализацион-ный феномен является в большей степени вторичным по отношению к расширению ликворосодержащих пространств и отчасти отображает тяжесть гипоксически-ишемических изменений в мозге. Гипоксически-ишемические поражения гиппокампа могут определять прогноз эпилептогенеза при дальнейшем развитии ребенка.
Summary. Hypoxic-ischemic injury is one of the main acquired neonatal brain injuries with a risk of developing serious neurological consequences and death. Infants with severe hypoxia-ischemia have a neonatal mortality rate of 25 to 50%. Mention of hypoxic-ischemic damage to the hippocampus is rare in the available literature and the issue has not been studied in detail. The mechanisms of damage to hippocampal tissue are nonspecific and are characteristic of the formation of hypoxic-ischemic changes in any other part of the brain. The purpose of the work was to describe a decrease in the volume of the hippocampus as a neuroimaging phenomenon with varying degrees of severity of hypoxic-ischemic brain lesions. The study group consisted of 164 children with hypoxic-ischemic changes on MRI, 84 male patients and 80 female patients. There were 97 patients aged from 0 to 10 days, 67 children aged from 10 days to 3 months. MR studies were carried out in standard modes. For the purpose of analysis, four groups were identified according to the severity of hypoxic-ischemic changes. The group of children with intraventricular hemorrhages against the background of mild hypoxic-ischemic changes stood out. The condition of the child at birth, as well as maternal history data, were recorded.
Our data showed that a decrease in the volume of the hippocampus was noted in a quarter of cases of hypoxic-ischemic changes in the brain of any severity. The greatest risk of its detection occurs with the greatest severity of hypoxic-ischemic changes and with the expansion of liquor-containing spaces - regardless of the severity of hypoxic-ischemic changes. A significant connection between hippocampal lesions and the presence of neonatal seizures was revealed. This neuroimaging phenomenon is largely secondary to the expansion of liquor-containing spaces and partly reflects the severity of hypoxic-ischemic changes in the brain. Hypoxic-ischemic lesions of the hippocampus can determine the prognosis of epileptogenesis in the further development of the child.
Для цитирования: Уменьшение объема гиппокампа в картине гипоксически-ишемического поражения головного мозга: неоднозначность природы и возможная связь с эпилептогенезом / П.А. Романов, П.Л. Соколов, Н.А. Шолохова, А.И. Крапивкин // Практика педиатра. 2025. № 2. С. 43-51.
For citation: Reduction of hippocampal volume in the picture of hypoxic-ischemic brain damage: ambiguity of nature and possible connection with epileptogenesis / P.A. Romanov, P.L. Sokolov, N.A. Sholokhova, A.I. Krapivkin // Pediatrician's Practice. 2025;(2): 43-51. (in Russ.)
Гипоксически-ишемическое поражение является одним из основных приобретенных неонатальных повреждений головного мозга с риском развития серьезных неврологических последствий и летального исхода [1].
Так, у младенцев с тяжелой гипоксией-ишемией уровень смертности в неонатальном периоде составляет от 25 до 50% [2].
Упоминание гипоксически-ишемического поражения именно гиппокампов в доступной литературе встречается не так часто [3].
Механизмы поражения ткани гиппокампа неспецифичны и характерны для формирования ги-поксически-ишемических изменений в любом другом отделе мозга: экспрессия провоспалительных агентов (в том числе TLR4 и его нижестоящих сигнальных молекул, гибель нейронов, активация микроглии и астроцитов и увеличение экспрессии подтипа рецептора глутамата, N-метил d-аспартата 2A (NR2A)) [4].
При этом поражения гиппокампа рассматриваются в качестве специфичных для доношенных новорожденных [2, 5], а также как показатель тяжести перенесенной гипоксии - ишемии, поскольку часто сочетаются с поражениями базальных ганглиев и таламуса, червя мозжечка, ядер ствола, кортикоспинального тракта, перироландической области коры больших полушарий [6, 7].
При этом необходимо учитывать, что состояние гиппокампа, как морфологическое, так и функциональное, тесно связано с понятием мезиального темпорального склероза, поскольку гиппокамп рассматривается как неотъемлемая структурная составляющая мезио-темпоральной области.
На сегодня имеется две превалирующих точки зрения на природу мезиального темпорального склероза: согласно первой данное нарушение структуры мозга имеет первичную по отношению к эпилептическому процессу природу и связано с различными патологическими состояниями, в том числе гипоксически-ишемическим поражением мозга новорожденного [8], согласно второй - является следствием течения тяжелого эпилептического процесса с вторичными метаболическими расстройствами.
Тем самым проблематика гиппокампальных поражений имеет особую актуальность с точки зрения возможного участия их в последующем эпилептогенезе.
Цель - описать поражение гиппокампа как ней-ровизуализационный феномен при различной степени выраженности гипоксически-ишемической энцефалопатии.
Задачи:
• определить частоту встречаемости поражений гиппокампа при наличии на МРТ гипоксически-ишемических изменений;
• определить зависимость поражений гиппокампа от выраженности гипоксически-ишемических поражений в мозге;
• определить взаимосвязь развития изменений в гиппокампе и наличием неонатальных судорог.
Материалы и методы
Обследовано 164 ребенка с гипоксически-ишемическими изменениями на МРТ, 84 пациента мужского пола и 80 - женского. В возрасте от 0 до 10 дней - 97 пациентов, в возрасте от 10 дней до 3 мес - 67 детей. Анамнез и клинический статус исследованы у 64 детей. По признаку доношенности пациенты распределялись следующим образом: доношенных - 63, недоношенных - 14, переношенных - 5.
Таблица 1. Общая характеристика исследованной группы пациентов с гипоксически-ишемическими поражениями головного мозга
|
Всего |
164 |
|
|
Пол |
м |
84 |
|
ж |
80 |
|
|
Возраст |
от 0 до 10 дней |
97 |
|
от 10 до 90 дней |
67 |
|
|
Доношенность |
да |
63 |
|
нет |
14 |
|
|
Переношенность |
5 |
|
Фиксировались изменения в клиническом статусе при рождении, особенности протекания родов и материнский анамнез. Во избежание упомянутой ранее ненужной фрагментации данных и с целью выработки применимых в практике факторов риска осложненность анамнеза матери определялась укрупненно, по типу отягощающей патологии: соматической инфекционной, соматической неинфекционной, а также осложненность акушерско-гинекологического анамнеза. Кроме того, учитывались такие факторы, как:
• состояние при рождении (удовлетворительное, средней тяжести, тяжелое);
• доношенность, уровень (недоношенность, доношенность, переношенность);
• факторы, способствующие механической травматизации плода в родах (эпизиотомия, ручные пособия, родоразрешение посредством Кесарева сечения (как экстренное, так и плановое);
• длительный безводный промежуток (более 12 часов);
• угроза прерывания беременности (ранняя, поздняя, в течение всей беременности);
• токсикоз (первой половины, второй половины, в течение всей беременности);
• угнетение (наличие в раннем послеродовом периоде);
• судороги (наличие в течение первых десяти дней жизни).
МР-исследования проводились на двух МР-томо-графах с напряженностями 1,5 Т (Toshiba Excel Art Vantage) и 3 Т (Toshiba Titan). Протоколы сканирования на этих аппаратах максимально схожи по набору и параметрам импульсных последовательностей.
Использовались следующие импульсные последовательности:
• Т2-ВИ в 3 проекциях (FSE, TR = 5000 мс, TE = 95 мс, толщина среза 3-4 мм, пространственное разрешение 0,8 х 0,8 мм),
• Т1-ВИ (SE на 1,5 Тл, TR = 500 мс, TE = 12 мс, толщина среза 4 мм, пространственное разрешение 0,8 х 0,8 мм; FSE на 3 Тл, TR = 2600 мс, TE = 40 мс, TI = 1050 мс, толщина среза 4 мм, пространственное разрешение 0,8 х 0,8 мм);
• DWI (SE-EPI, TR = 4500 мс, TE = 90 мс, толщина среза 4 мм, пространственное разрешение 1,8 х 1,8 мм) для выявления острой ишемии;
• T2* (FE, TR = 900 мс, TE = 20 мс, толщина среза 4 мм, пространственное разрешение 1,8 х 1,8 мм) для выявления гемосидерина.
В силу возраста пациентов МР-исследования проводились под медикаментозной седацией.
Планирование срезов осуществлялось следующим образом:
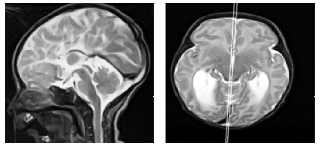
1. Аксиальная проекция - по орбитомеатальной линии (рис.1).
2. Сагиттальная проекция - вдоль третьего желудочка через водопровод мозга (рис. 2).
3. Коронарная проекция - по слуховым нервам (рис. 3).
Рис. 1. Пример позиционирования срезов по орбитомеатальной линии в сагиттальной плоскости для получения изображения в аксиальной проекции при проведении магнитно-резонансной томографии головного мозга на примере Т2 ВИ пациенту восьми месяцев жизни.
Рис. 2. Пример позиционирования срезов вдоль третьего желудочка через водопровод мозга в аксиальной плоскости для получения изображения в сагиттальной проекции при проведении магнитнорезонансной томографии головного мозга на примере Т2 ВИ пациенту восьми месяцев жизни

Рис. 3. Пример позиционирования срезов по слуховым нервам аксиальной плоскости для получения изображения в коронарной проекции при проведении магнитно-резонансной томографии головного мозга на примере Т2 ВИ пациенту восьми месяцев жизни
При оценке МРТ учитывались следующие визуализационные феномены:
1. Изменение МРТ-сигнала от структур, входящих в бассейны «наружного водораздела» (здесь и далее - перивентрикулярное белое вещество лобных, теменных и затылочных областей в пограничной зоне передней/средней мозговых артерий или средней/задней мозговых артерий).
2. Изменения МРТ-сигнала от задней ножки внутренней капсулы.
3. Изменение МРТ-сигнала от структур, входящих в бассейны «внутреннего водораздела» (здесь и далее - глубинное белое вещество полушарий между лентикулостриарными артериями и глубокими проникающими ветвями средней мозговой артерии или в пограничной зоне глубоких ветвей средней и передней мозговых артерий (в качестве анатомических ориентиров - островковые области, семиовальные центры и лучистый венец).
4. Изменение МРТ-сигнала от передней ножки внутренней капсулы.
5. Изменение МРТ-сигнала от базальных ганглиев и зрительного бугра (таламуса).
6. Диффузное поражение мозговой ткани с проявлениями раннего глиоза и (или) формирующихся кист.
7. МРТ-признаки внутрижелудочковых и паренхиматозных геморрагий.
Результаты первичного анализа материалов исследования по этим критериям позволили разделить их на пять групп:
1. Группа 1А - c изменениями МРТ-сигнала от структур, входящих в бассейны «наружного водораздела» и задней ножки внутренней капсулы без признаков внутрижелудочкового кровоизлияния.
2. Группа 1Б - c изменениями МРТ-сигнала от структур, входящих в бассейны «наружного водораздела» и задней ножки внутренней капсулы с признаками внутрижелудочкового кровоизлияния.
3. Группа 2 - с изменениями МРТ-сигнала от структур, входящих в бассейны «наружного» и «внутреннего» водоразделов, задней и передней ножек внутренней капсулы.
4. Группа 3 - с изменениями МРТ-сигнала от структур, входящих в бассейны «наружного» и «внутреннего» водоразделов, задней и передней ножек внутренней капсулы, а также базальных ганглиев и зрительного бугра.
5. Группа 4 - с диффузным поражением мозговой ткани с проявлениями раннего глиоза и (или) формирующихся кист.

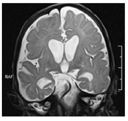
Рис. 4. Уменьшение объемов гиппокампов при заместительном расширении желудочковой системы головного мозга
Рис. 5. Уменьшение объемов гиппокампов с нерасширенной желудочковой системой
Рис. 6. Уменьшение объемов гиппокампов на фоне тотальной кистозной трансформации вещества головного мозга
Для определения связи уменьшения объема гиппокампа с расширением ликворосодержащих пространств (РЛП) весь массив случаев был нами разделен на два по данному признаку - с наличием ликворосодержащих пространств (РЛП+) и (РЛП-).
Испоьзованные методы статистического анализа
Для описания количественных показателей использовались среднее значение и стандартное отклонение в виде «M ± S». На всех графиках для количественных шкал среднее арифметическое обозначено точкой, медиана обозначена горизонтальным отрезком, внутриквартильный размах представлен прямоугольником, минимальные и максимальные уровни обозначены вертикальными отрезками.
Сопоставления двух групп по количественным шкалам проводились на основе непараметрического метода Манна - Уитни. Сравнения трех и более групп по количественным шкалам проводились на основе непараметрического критерия Краскела-Уоллеса. Статистическая значимость различий групп для бинарных и номинальных переменных осуществлялась при помощи теста Хи-квадрат Пирсона.
Для моделирования дихотомических исследуемых показателей использовались деревья классификации - инструмент, позволяющий предсказывать вероятности исследуемых событий под влиянием от соответствующих значений независимых факторов, а также сегментировать респондентов на рисковые классы. Данный метод полезен, так как предоставляет последовательно анализировать эффект влияния отдельных показателей, а также предоставляет возможность выполнять одномерное ветвление для исследования вклада отдельных переменных и работать с факторами разных типов. Для оценки качества смоделированных деревьев использовался ROC-анализ.
Уровень статистической значимости был зафиксирован на уровне 0,05. Статистическая обработка данных осуществлялась c помощью пакетов прикладных программ Statistica 10 и SAS JMP 11.
Результаты
Изменения в структурах гиппокампа были зарегистрированы в 25 случаях из 164 - 15,24%.
Максимум распределения приходился на группу 4, минимум - на группу 1А. При этом в группе 1Б случаев с изменениями в структурах гиппокампа было намного больше (пять против одного).
Феномен уменьшения объема гиппокампа в большей степени был представлен в группах 3 и 4 по степени выраженности изменений, то есть был характерен для детей, перенесших тяжелую гипоксию-ишемию (табл. 2). Вызывает интерес тот факт, что с такой же частотой он выявлялся и в группе 1Б -у детей с легко выраженными признаками гипоксии-ишемии, на фоне которых было зафиксировано внутрижелудочковое кровоизлияние (наиболее отчетливо это представлено на рис. 7).
Рис. 7. Представленность феномена уменьшения объема гиппокампа в группах по степени выраженности гипоксически-ишемических изменений в головном мозге ребенка
При этом наиболее достоверными были различия по данному признаку между группами 1А и 1Б, 1А и 3, 2 и 4 (табл. 3) при достоверности различий в множественных попарных сравнениях между всеми группами.
Таблица 2. Представленность феномена уменьшения объема гиппокампа в группах по степени выраженности гипоксически-ишемических изменений в головном мозге ребенка

Таблица 3. Достоверность отличий в присутствии феномена уменьшения объема гиппокампа
Также с высокой достоверностью данный феномен в большей степени был характерен для детей, родившихся в тяжелом состоянии (табл. 4, рис. 8).
Таблица 4. Встречаемость уменьшения объема гиппокампа в зависимости от тяжести состояния при рождении
|
Показатель |
Удовлетворительное (n = 10) |
Средней тяжести (n = 21) |
Тяжелое (n = 43) |
Уровень P (df =2 ) |
|
Гиппокамп, уменьшение объема |
0 (0,00%) |
1 (4,76%) |
13 (30,23%) |
0,0131 |
Рис. 8. Встречаемость уменьшения объема гиппокампа в зависимости от тяжести состояния при рождении
С высокой достоверностью (р = 0,0035) уменьшение объема гиппокампа встречалось более чем в четыре раза чаще в группе РЛП+, что может указывать на патогенетическую связь между этими феноменами и вторичную природу изменений в гиппокампе.
В таблице 6 представлен ТОП-21 список оценок рисков влияющих факторов по отношению к целевому показателю «гиппокамп, уменьшение объема».
На основании таблицы 6 можно сделать вывод о том, что 14 из 21 факторов имеют статистическую значимость влияния на целевую переменную «гиппокамп, уменьшение объема» с диапазоном уровней рисков от 30,0% до 100,0%. Под воздействием влияния факторов из списка ТОП-21 риски развития уменьшения объема гиппокампа увеличиваются от 30,0% до 100,0%. Лидирующими статистически значимыми факторами с повышением уровней рисков от 57,9% до 100,0% являются «группа 4», «кистозная трансформация» и «базальные ганглии». Замыкают список ТОП-21 статистически значимые факторы «судороги», «водораздел наружный» и «РЛП+», которые повышают уровень риска от 30,0% до 100,0%.
По результатам проведенного однофакторного анализа рисков целевого показателя «гиппокамп, уменьшение объема» можно сделать вывод, что тремя ключевыми статистически значимыми факторами развития риска «уменьшение объема гиппокампа» являются «группа 4», «кистозная трансформация» и «базальные ганглии» с уровнями абсолютного риска развития показателя «уменьшение объема гиппокампа» более 57,9%. Наличие одного из трех ключевых факторов повышает уровень риска развития показателя «уменьшение объема гиппокампа» более чем в 6,0 раза.

Таблица 5. Распределение уменьшения объема гиппокампа по группам с расширением ликворосодержащих пространств и без такового
Показатель | РЛП+ (n = 60) | РЛП-(n = 51) | Всего | Уровень P (df = 1) |
Гиппокамп, уменьшение объема | 18 (30,00%) | 4 (7,84%) | 22 | 0,0035 |
Формирование рисковых классов развития показателя «гиппокамп, уменьшение объема».
Для оценки прогнозного качества построенного дерева-решений использовались такие показатели, как AuROC, чувствительность и специфичность. AuROC - площадь, ограниченная ROC-кривой и осью доли ложных положительных классификаций. Чем выше показатель AuROC, тем качественнее классификатор, при этом значение 0,5 демонстрирует непригодность выбранного метода классификации (соответствует случайному гаданию). Если значение AuROC меньше 0,75, то прогнозные качества дерева на низком уровне, при значениях меньше 0,85 - прогнозное качество на среднем уровне и значения выше 0,85 говорят о высоком прогнозном качестве модели. Чувствительность представляет собой долю истиноположительных результатов среди всех положительных, а специфичность, напротив, долю истиноотрицательных результатов среди всех отрицательных.
Всего с помощью дерева-решений было выделено три рисковых класса (таблица). Наиболее высокий риск (риск = 80,0%, объем группы = 10) развития показателя «гиппокамп, уменьшение объема» наблюдается у пациентов со следующей комбинацией факторов: «группа по тяжести изменений (группа 4)». Наименьший уровень риска (риск = 2,2%, объем группы = 46) развития показателя «гиппокамп, уменьшение объема» наблюдается для следующей комбинации факторов: «группа по тяжести изменений (группа 1А, группа 1Б, группа 2, группа 3)» и «РЛП (без РЛП)». Самым крупным классом с объемом группы в 55 наблюдений и уровнем риска в 2,2% является следующая комбинация факторов: «группа по тяжести изменений (группа 1А, группа 1Б, группа 2, группа 3)» и «РЛП+».
Таблица 6. ТОП-21 ключевых факторов влияния на целевой показатель «уменьшение объема гиппокампа» (оценки абсолютных рисков, изменение риска, относительный риск)
|
Фактор |
Гиппокамп, уменьшение объема: частота (риск, %) |
Изменение риска (95% ДИ) |
Относительный риск (95% ДИ) |
Уровень P |
|
|
фактор: нет |
фактор: есть |
||||
|
Группа 4 |
1 (1,6%) |
8 (80,0%) |
78,4 (53,4; 103,4)% |
50,4 (7,04; 361,00) |
<0,0001 |
|
Кистозная трансформация |
18 (11,5%) |
7 (100,0%) |
88,5 (83,6; 93,5)% |
8,72 (5,65; 13,47) |
<0,0001 |
|
Базальные ганглии |
14 (9,7%) |
11 (57,9%) |
48,2 (25,5; 71,0)% |
6 (3,20; 11,24) |
<0,0001 |
|
Мозолистое тело (не дифференцировано на отделы) |
2 (3,1%) |
20 (43,5%) |
40,4 (25,5; 55,3)% |
14,13 (3,47; 57,51) |
<0,0001 |
|
Внутренняя гидроцефалия |
12 (8,9%) |
13 (44,8%) |
35,9 (17,2; 54,7)% |
5,04 (2,57; 9,90) |
<0,0001 |
|
Наличие ВЖК |
13 (9,4%) |
12 (46,2%) |
36,7 (17,0; 56,5)% |
4,9 (2,52; 9,51) |
<0,0001 |
|
Группа 3 |
1 (1,6%) |
5 (38,5%) |
36,9 (10,2; 63,5)% |
24,23 (3,08; 190,56) |
<0,0001 |
|
Геморрагии |
11 (8,6%) |
14 (38,9%) |
30,3 (13,6; 46,9)% |
4,53 (2,25; 9,09) |
<0,0001 |
|
Возраст, дней > 20,0 |
8 (7,1%) |
16 (34,0%) |
26,9 (12,5; 41,3)% |
4,77 (2,19; 10,37) |
<0,0001 |
|
Угнетение |
0 (0,0%) |
14 (35,9%) |
35,9 |
— |
0,0001 |
|
Состояние при рождении тяжелое |
1 (3,2%) |
13 (30,2%) |
27,0 (11,9; 42,1)% |
9,37 (1,29; 67,94) |
0,0034 |
|
РЛП+ |
4 (7,8%) |
18 (30,0%) |
22,2 (8,4; 35,9)% |
3,82 (1,38; 10,58) |
0,0035 |
|
Водораздел наружный |
7 (36,8%) |
18 (12,4%) |
-24,4 (-46,8; -2,1)% |
0,34 (0,16; 0,70) |
0,0053 |
|
Судороги |
9 (14,1%) |
5 (50,0%) |
35,9 (3,8; 68,1)% |
3,56 (1,49; 8,46) |
0,0070 |
|
Осложненность анамнеза матери по соматической неинфекционной патологии |
1 (5,0%) |
13 (24,1%) |
19,1 (4,2; 33,9)% |
4,81 (0,67; 34,46) |
0,0628 |
|
Осложненность акушерско-гинекологического анамнеза матери |
2 (8,0%) |
12 (25,5%) |
17,5 (1,1; 33,9)% |
3,19 (0,77; 13,15) |
0,0735 |
|
Длительный безводный промежуток |
6 (14,6%) |
9 (30,0%) |
15,4 (-4,3; 35,0)% |
2,05 (0,82; 5,14) |
0,1172 |
|
Родовая травма прямая |
11 (18,0%) |
4 (33,3%) |
15,3 (-13,1; 43,7)% |
1,85 (0,71; 4,84) |
0,2305 |
|
Токсикоз второй половины |
11 (17,7%) |
4 (30,8%) |
13,0 (-13,8; 39,9)% |
1,73 (0,65; 4,60) |
0,2857 |
|
Осложненность анамнеза матери по соматической инфекционной патологии |
7 (15,6%) |
7 (24,1%) |
8,6 (-10,3; 27,4)% |
1,55 (0,61; 3,96) |
0,3575 |
|
Угроза прерывания беременности (ранняя, поздняя, всю беременность) |
7 (20,6%) |
6 (15,8%) |
-4,8 (-22,7; 13,1)% |
0,77 (0,29; 2,06) |
0,5972 |
Таблица 7. Отсортированные рисковые классы пациентов для целевого показателя «гиппокамп, уменьшение объема» по убыванию риска
|
№ |
Определение класса |
Объем группы |
Доля класса, % |
Риск, % |
|
1 |
Группа по тяжести изменений (группа 4) |
10 |
9,0% |
80,0% |
|
2 |
Группа по тяжести изменений (группа 1А, группа 1 Б, группа 2, группа 3) & РЛП (РЛП) |
55 |
49,5% |
25,5% |
|
3 |
Группа по тяжести изменений (группа 1А, группа 1 Б, группа 2, группа 3) & РЛП (без РЛП) |
46 |
41,4% |
2,2% |
Рис. 9. Диаграмма дерева-решений для показателя «уменьшение объема гиппокампа» на основе комбинации двух влияющих факторов: «группа по тяжести изменений» и «РЛП»

Ниже, на рисунке 10 и в таблице 8, приведены результаты ROC-анализа и прогнозные показатели качества построенного дерева-решений для целевого показателя «гиппокамп, уменьшение объема». Точка отсечения представляет собой оптимальную границу отделения положительного прогноза от отрицательного.
Рис. 10. ROC-кривая для целевого показателя «гиппокамп, уменьшение объема»
Таблица 8. Прогнозные показатели качества, построенного дерева-решений для целевого показателя «гиппокамп, уменьшение объема»
Точка отсечения | 25,5% |
AuROC | 0,92 |
Чувствительность | 88,9% |
Специфичность | 93,8% |
Эффективность | 91,3% |
Значение AuROC, равной 0,92, говорит о высоком прогнозном качестве смоделированного дерева-решений. Если оценка риска >25,5%, то следует считать, что мы ожидаем положительный результат, в противном случае - отрицательный. При таком подходе в 88,9% случаев мы будем правильно идентифицировать положительный результат и в 93,8% случаев - правильно идентифицировать отрицательный результат.
На основе метода дерева решений для целевого показателя «гиппокамп, уменьшение объема» было выделено три рисковых класса с уровнями риска от 2,2% до 80,0% с помощью следующих двух влияющих факторов: «группа по тяжести изменений» и «РЛП». Высоко рисковый класс с уровнем риска 80,0% определяется на основе комбинации факторов «группа по тяжести изменений (группа 4)». Прогнозное качество построенной модели имеет высокий уровень.
Обсуждение
Уменьшение объемов гиппокампа встречалось в четырех из пяти случаев четвертой группы гипоксически-ишемических изменений в мозге (характеризующейся грубыми морфологическими нарушениями, по сути - поликистозом и распространенным глиозом). В таком окружении присутствие данного феномена вполне логично отражает общую картину пострадавшего от жестокой гипоксии мозга.
При этом в группе 3, критерием отбора в которую было наличие изменений в таламусе и базальных ганглиях, данный признак встречается чуть более чем в трети случаев (38,5%), что не вполне согласуется с впечатлением, сложившимся после ознакомлением с литературой, согласно которому данные феномены очень близки патогенетически и встречаются в основном сочетанно [6, 7], хотя поражение базальных ганглиев изолированно является одним из ключевых факторов влияния на целевой показатель «уменьшение объема гиппокампа». Кроме того, такой же была доля пациентов с уменьшением объема гиппокампа в группе 1Б, включающую в себя пациентов с внутрижелудочковыми кровоизлияниями на фоне легких гипоксически-ишемических изменений в мозговой ткани, что в еще большей степени делает сомнительным вывод о сочетанности изменений в таламусе, базальных ганглиях и гиппокампе. Все это дает возможность предположить более сложную природу гиппокампальных изменений при гипоксически-ишемических поражениях мозга. Более высокая их встречаемость при наличии расширения ликворосодержащих пространств может указывать на вторичный характер уменьшения объема гиппокампа за счет изменения взаимоотношений между отделами мозга при расширении желудочковой системы и субарахноидальных пространств. Это предположение подтверждается также и высокой частотой встречаемости расширения ликворосодержащих пространств в группе 1Б - у 11 из 13 пациентов (84,6%).
Большой интерес вызывает выявленная по данным анализа рисков высоко достоверная связь между наличием изменений структуры гиппокампа и неонатальными судорогами, однако предположить, который из этих феноменов является первичным, а какой вторичным, на основе имеющихся данных не представляется возможным.
Выводы:
1. Уменьшение объемов гиппокампа отмечено в 25% случаев наличия гипоксически-ишемических изменений в мозге любой выраженности.
2. Природа уменьшения объема гиппокампа в большей степени вторична по отношению к расширению ликворосодержащих пространств, в меньшей - определяется тяжестью гипоксически-ишемических изменений в мозге ребенка.
3. Присутствует достоверная связь между наличием изменений структуры гиппокампа и неонатальными судорогами, однако предположить, который из этих феноменов является первичным, а какой вторичным, на основе имеющихся данных не представляется возможным.
Заключение
Данные проведенного исследования показали, что уменьшение объемов гиппокампа отмечены в четверти случаев наличия гипоксически-ишемических изменений в мозге любой выраженности. Наибольший риск его выявления имеется при наибольшей выраженности гипоксически-ишемических изменений и при расширении ликворосодержащих пространств - независимо от тяжести гипоксически-ишемических изменений. Выявлена достоверная связь поражения гиппокампа с наличием неонатальных судорог. Данный нейровизуализационный феномен является в большей степени вторичным по отношению к расширению ликворосодержащих пространств и отчасти отображает тяжесть гипоксически-ишемических изменений в мозге. Гипоксически-ишемические поражения гиппокампа могут определять прогноз эпилептогенеза при дальнейшем развитии ребенка.
Литература
1. Quantification of Diffusion Magnetic Resonance Imaging for Prognostic Prediction of Neonatal Hypoxic-Ischemic Encephalopathy / Kengo Onda [et al.] // International Journal of Developmental Neuroscience. 2024. Vol. 46, No. 1. P. 55-68. DOI: 10.1159/000530938.
2. Ravikanth Reddy. Magnetic Resonance Imaging Evaluation of Perinatal Hypoxic Ischemic Encephalopathy: An Institutional Experience // Journal of Neurosciences in Rural Practice. 2022. Vol. 13, No. 1. P. 87-94. DOI: 10.1055/s-0041-1742157.
3. Mammillary body atrophy and other MRI correlates of school-age outcome following neonatal hypoxic-ischemic encephalopathy / Kim V. Annink [et al.] // Scientific Reports. 2021. Mar. 3. Vol. 11, No. 1. P. 5017. DOI: 10.1038/s41598-021-83982-8.
4. Early TLR4 inhibition reduces hippocampal injury at puberty in a rat model of neonatal hypoxic-ischemic brain damage via regulation of neuroimmunity and synaptic plasticity / Zhen Tang [et al.] // Experimental Neurology. 2019. Vol. 321. P. 113039. DOI: 10.1016/j.expneurol.2019.113039.
5. Barkovich A.J. MR imaging of the neonatal brain // Neuroimaging Clinics of North America. 2006. Vol. 16, No. 1. P. 117135, viii-ix. DOI: 10.1016/j.nic.2005.10.003.
6. Brain injury patterns in hypoxic ischemic encephalopathy of term neonates / Pratheek S. Bobba [et al.] // Journal of Neuroimaging. 2023. Vol. 33, No. 1. P. 79-84. DOI: 10.1111/ jon.13052.
7. Magnetic resonance imaging in perinatal brain injury: clinical presentation, lesions and outcome / M. Rutherford [et al.] // Pediatric Radiology. 2006. Vol. 36, No. 7. P. 582-592. DOI: 10.1007/s00247-006-0164-8.
8. Magnetic resonance imaging in symptomatic/cryptogenic partial epilepsies of infants and children / P.J. Wang [et al.] // Zhonghua Min Guo Xiao Er Ke Yi Xue Hui Za Zhi. 1997. Vol. 38, No. 2. P. 127-136.