Жестокое обращение с детьми
СтатьиБ.М. Блохин1, 2, д-р мед. наук, профессор, Г.И. Гордиенко1, канд. мед. наук, А.С. Суюндукова1, канд. мед. наук, В.Ю. Стешин1, канд. мед. наук, И.П. Лобушкова1, 2, канд. мед. наук
1 ФГАОУ ВО «Российский национальный исследовательский медицинский университет им. Н.И. Пирогова» Минздрава России, г. Москва. Кафедра поликлинической и неотложной педиатрии Института материнства и детства
2ФГБУ «Детский медицинский центр» Управления делами Президента РФ, г. Москва
Ключевые слова: жестокое обращение, дети, насилие над детьми.
Keyworlds: child abuse and neglect, children.
Резюме. Статья посвящена проблеме жестокого обращения с детьми. Авторы рассматривают распространенность, физические признаки и психологические особенности детей, подвергшихся жестокому обращению, обращают пристальное внимание на последствия насилия. В статье приводится алгоритм действий врача при подозрении на жестокое обращение с ребенком, меры правовой поддержки, а также подчеркивается важность профилактики жестокого обращения.
Summary. The article focuses on the issue of child abuse. The authors examine the prevalence, causes, physical signs, and psychological characteristics of children who have been subjected to abuse, paying close attention to the consequences of maltreatment. The article outlines an algorithm of actions for medical professionals when child abuse is suspected, measures of legal support, and emphasizes the importance of abuse prevention through maintaining a comfortable psychological environment.
Для цитирования: Жестокое обращение с детьми / Б.М. Блохин [и др.] // Практика педиатра. 2025. № 4. С. 39-46.
For citation: Child Abuse / B.M. Blokhin [et al.] // Pediatrician's Practice. 2025;(4): 39-46. (In Russ.)
По определению Всемирной организации здравоохранения (ВОЗ), жестокое обращение с ребенком (Child abuse and Neglect) - плохое обращение с детьми в возрасте до 18 лет и отсутствие заботы о них. Оно охватывает все типы физического и/или эмоционального жестокого обращения, сексуального насилия, пренебрежения, невнимания и эксплуатации в коммерческих или иных целях, что приводит к нанесению реального или потенциального вреда здоровью, выживаемости, развитию или достоинству ребенка в контексте взаимосвязи ответственности, доверия или власти [1].
В России ст. 156 Уголовного кодекса РФ [2], ст. 65 Семейного кодекса РФ [3], п. 11 постановления Пленума Верховного Суда РФ от 27 мая 1998 г. № 10 [4], жестоким обращением с несовершеннолетним признается:
• само по себе невыполнение или ненадлежащее выполнение обязанностей по воспитанию ребенка, совершенное как путем действия, так и путем бездействия, которое по своему характеру и причиняемым последствиям носит жестокий характер: лишение питания, обуви и одежды, грубое нарушение режима дня, обусловленного психофизиологическими потребностями ребенка определенного возраста, лишение сна и отдыха, невыполнение элементарных гигиенических норм (влекущее за собой, например, педикулез, чесотку и пр.), невыполнение рекомендаций и предписаний врача по профилактике заболеваний и лечению ребенка, отказ или уклонение от оказания ребенку необходимой медицинской помощи и др.;
• активные действия, грубо попирающие основные обязанности субъекта воспитательной деятельности, состоящие в применении к ребенку недопустимых (в правовом и нравственном смысле) методов воспитания и обращения и включающие все виды психического, физического и сексуального насилия над детьми [5].
Распространенность жестокого обращения в мире и в России
В 2002 г. ВОЗ впервые опубликовала данные, касающиеся распространенности отдельных вариантов жестокого обращения с детьми в Чили, Египте, сельских территориях Индии, Филиппин и США. В документе отмечено, что в Египте наиболее распространены жестокие формы физических наказаний детей, что внешнее благополучие семьи -не гарантия безопасности ребенка. Семьи с высоким доходом более закрыты, и рядом с ребенком, страдающим от насилия в «социально благополучной» семье, нет никого, кто бы мог за него заступиться [1].
В 2020 г. был опубликован «Доклад о положении дел в мире в сфере предупреждения насилия в отношении детей», в котором констатировалось, что ежегодно каждый второй ребенок, или 1 млрд детей, сталкивается с той или иной формой насилия. Три четверти детей в возрасте от 2 до 4 лет, или 300 млн, регулярно подвергаются физическому наказанию и/или психологическому насилию со стороны родителей и опекунов, каждый третий школьник в возрасте от 11 до 15 лет становился объектом травли (буллинга) со стороны сверстников; 120 млн девочек и девушек в возрасте до 20 лет стали жертвами той или иной формы сексуального принуждения, каждая пятая женщина и каждый тринадцатый мужчина пережили сексуальное насилие в детстве. Ежегодно среди детей регистрируется 40 150 убийств [6].
В Российской Федерации (РФ) за последние годы на 19,5% выросло число несовершеннолетних, признанных потерпевшими в результате преступлений. По данным Министерства внутренних дел РФ, число зарегистрированных противо правных действий в отношении детей выросло - с 90,4 тыс. в 2020 г. до 103,2 тыс. в 2022 г. (+14,2%); совершено 80 убийств детей родителями. Распространенность жестокого обращения с детьми носит определенное возрастное распределение. Чаще всего страдают дети 1-го года жизни. Среди детей первых лет жизни насилию подвергаются чаще мальчики, а в дошкольном и школьном возрасте случаи жестокого обращения значительно чаще встречаются среди девочек [7, 8].
По данным Следственного комитета РФ, свыше 1000 преступлений сексуального характера в отношении несовершеннолетних совершается с использованием информационно-телекоммуникационных технологий (кибергруминг, детская порнография) [9].
Интересны данные, касающиеся причин такого широкого распространения различных форм жестокого обращения с детьми. Проведенный среди родителей подростков опрос об их отношении к физическому наказанию детей показал, что 35% родителей считают наказание своих детей простой формой воспитания; 61% родителей говорят, что это скорее форма воспитания, чем жестокость; 4% респондентов называют такие формы наказания жестоким обращением. Опрос подростков об их отношении к физическому наказанию со стороны своих родителей выявил, что 30% детей, которых бьют родители, считают такое наказание справедливым; 30% подростков ответили «когда как»; 56% детей страдают от чувства вины и стыда; 44% - предпочитают молча сносить наказание [10].
Мнение участковых врачей-педиатров, как лиц, наблюдающих методы воспитания детей в семье, отчасти отражает уровень общественного мнения по вопросам применения насилия в отношении детей и заставляет задуматься о причинах высокого уровня распространенности этого явления. В ходе опроса медицинских работников выяснилось: 17% считает, что физические наказания могут пойти ребенку на пользу; 51% утверждает, что дети могут провоцировать взрослых на жестокое обращение; 30% уверены, что случаи сексуального насилия в отношении детей - редкость; 78% утверждают, что дети чаще подвергаются насилию в социально неблагоприятных семьях; 62% респондентов думают, что сексуальное насилие над детьми чаще всего совершают незнакомцы [11]. Однако, по статистике, в 75-80% случаев насильники знакомы детям, из них 45% -родственники: родители и лица, их заменяющие. Считают, что 9 из 10 пострадавших детей знакомы с насильниками или связаны с ними родственными отношениями [12].
Причины жестокого обращения с детьми
Существует несколько основных подходов к объяснению причин жестокого обращения с детьми [12, 13].
Медико-психологический (психиатрический) подход рассматривает жестокое обращение с ребенком исходя из личностных особенностей и семейной истории родителей. Предположение, что родители, жестоко обращающиеся с детьми, больны и требуют лечения, не подтвердилось. Исследования не смогли выявить личностные особенности родителей, склонных к жестокому обращению с детьми. Единственный установленный факт: многие взрослые, проявлявшие жестокость в обращении с детьми, сами в детстве подвергались подобному обращению [12].
К условиям возникновения агрессии исследователи обычно относят:
• физиологические условия - алкоголь, наркотики, психоактивные вещества;
• психологические условия - ощущение фрустрации, «невозможности исполнения никаких надежд»;
• ситуационные условия в виде наличия лидеров, подходящих средств проявления агрессии;
• провокационные действия властей или их отдельных представителей, провоцирующие агрессию.
Неблагополучная семья как фактор жестокого обращения
В неблагополучных семьях часто отмечаются характерные черты поведения и вербальных отношений взрослых и детей: общение между ними находится на низком уровне, отсутствуют забота, радость от общения; в межличностных отношениях доминируют разъединение, неприязнь, взаимное перекладывание вины. Для распавшейся семьи характерно соединение неприязненных отношений с уходящими в прошлое конфликтами. Дети, проживающие в такой семье, испытывают различные формы психологического давления: разъединенность и эмоциональное отвержение со стороны родителей; заброшенность и насилие; чувство вины и стыда за поведение членов семьи. Ребенок вынужден соизмерять свое поведение с «двойным стандартом правил» - аморальным как нормой поведения внутри своей семьи и моральными требованиями, правилами поведения вне семьи: в школе, в общении с другими [13].
Виды жестокого обращения с детьми
Эксперты ВОЗ выделяют четыре основных вида жестокого обращения с детьми [1]:
• физическое насилие;
• сексуальное насилие (половое, гендерное насилие, развращение);
• психологическое (эмоциональное) насилие;
• пренебрежение интересами и нуждами ребенка (моральная жестокость).
Физическое насилие - неслучайное причинение вреда здоровью ребенка путем применения физической силы с нанесением значимых для здоровья повреждений родителем или лицом, осуществляющим опеку или уход. По статистике ВОЗ, 40 млн детей моложе 15 лет страдают от физического насилия и безнадзорности. В отношении более 1,5 млн детей и подростков совершается насилие со стороны отвечающих за их воспитание взрослых.
Сексуальное насилие - вовлечение ребенка с его согласия или без такового в сексуальные действия со взрослыми с целью получения последними удовлетворения или выгоды. Согласие ребенка на сексуальный контакт не дает оснований считать его ненасильственным, поскольку ребенок не обладает свободой воли и не может предвидеть все негативные последствия.
Психологическое насилие - принуждение ребенка к действию или бездействию в интересах побуждающего лица путем угроз, уговоров, давления, а также унижения, оскорбления, издевательства, высмеивания.
Таблица 1. Код(ы) диагнозов по МКБ-10, обусловленных жестоким обращением
|
Название |
||
|
T74.0 |
Оставление без внимания или заброшенность |
|
|
T74.1 |
Физическая жестокость Побои: |
|
|
T74.2 |
Сексуальная жестокость |
|
|
T74.3 |
Психологическая жестокость |
|
|
T74.8 |
Другие синдромы жестокого обращения Смешанные формы |
|
|
T74.9 |
Синдром неуточненного жестокого обращения Проявление: |
|
|
Y05 |
Сексуальное нападение с применением физической силы |
|
|
Y06 |
Лишение ухода или оставление без присмотра |
|
|
Y06.0 |
Супругом или партнером |
|
|
Y06.1 |
Родителем |
|
|
Y06.2 |
Знакомым или другом |
|
|
Y06.8 |
Другими уточненными лицами |
|
|
Y06.9 |
Неуточненным лицом |
|
|
Y07 |
Другие формы плохого обращения Включены: |
|
|
Y07.0 |
Супругом или партнером |
|
|
Y07.1 |
Родителем |
|
|
Y07.2 |
Знакомым или другом |
|
|
Y07.3 |
Официальными лицами |
|
|
Y07.8 |
Другими неуточненными лицами |
|
|
Y07.9 |
Неуточненными лицами |
|
|
Y87.1 |
Последствия нападения |
|
|
Z04.5 |
Обследование и наблюдение после другой причиненной травмы (Обследование жертвы или предполагаемого преступника после другой причиненной травмы) |
|
|
Z04.4 |
Обследование и наблюдение при заявлении об изнасиловании или совращении |
|
|
Z61.4 |
Проблемы, связанные с возможным сексуальным изнасилованием ребенка лицом, принадлежащим к группе первичной поддержки |
|
|
Z61.5 |
Проблемы, связанные с возможным изнасилованием ребенка посторонним лицом |
|
|
Z61.6 |
Проблемы, связанные с возможным физическим насилием по отношению к ребенку |
|
|
Z62.0 |
Неадекватность заботы и контроля со стороны родителей |
|
|
Z62.3 |
Враждебное отношение и несправедливые претензии к ребенку |
|
|
Z62.4 |
Эмоциональная заброшенность детей |
|
|
Z62.6 |
Неприемлемое давление со стороны родителей и другие отрицательные факторы воспитания |
|
|
Z63.0 |
Проблемы, связанные с взаимоотношениями супругов или партнеров |
|
Примечание: * БДУ - без дополнительных уточнений.
Психологическое насилие может проявляться в виде [13]:
• давления авторитетом, когда ребенку говорят: «Ты маленький, глупый, неумелый, неспособный, без будущего, без перспектив, без прав на что-либо, так как я тебя кормлю, пою и одеваю»;
• давления возрастом с произнесением в адрес ребенка: «Ты еще глупый, поскольку тебе только N лет. Я прожил жизнь, я знаю, каким тебе быть»;
• давления благами с внушением типа: «Только если ты будешь делать 1, 2, 3, 4., только при этом условии я дам тебе желаемые 5, 6, 7 и, если ты будешь слушать меня, быть может, со временем и 8»;
• давления жалостью, когда ребенка используют: «Я -старый, больной, измученный человек. Я столько делаю для тебя - работаю, воспитываю, готовлю, а ты не можешь сделать для меня такую малость как 1, 2, 3...»;
• давления угрозой, вариант шантажа: «Ты хочешь, чтобы у меня случился инфаркт? Ты добиваешься того, чтобы я попала в больницу?»;
• давления лишением: «Если ты и дальше будешь так себя вести, то я тебя выгоню из дома, оставлю без денег»; давления молчанием - бойкотирование всех обращений ребенка с вынуждением его к выпрашиванию прощения даже в том случае, если он не считает себя виновным;
• давления криком - при отсутствии приемлемой аргументации или способности ребенка возражать требованиям и побуждениям происходит переход на истерически окрашенные, резко повышенные тона;
• давления властью, когда разговор с ребенком приобретает форму монолога: «Я сказал, что будет только так. Все. Вопрос закрыт».
Пренебрежение интересами и нуждами ребенка - отсутствие должного обеспечения основных нужд и потребностей ребенка в пище, одежде, жилье, воспитании, образовании, медицинской помощи со стороны родителей или лиц, их заменяющих, в силу объективных причин (бедность, психические болезни, неопытность) и без таковых.
Некоторые авторы выделяют экономическое насилие, под которым подразумевается эксплуатация и привлечение несовершеннолетнего к любым работам, представляющим опасность для его здоровья или служащим препятствием в получении им образования либо наносящим ущерб его здоровью и физическому, умственному, духовному, моральному и социальному развитию [14].
На ребенка могут воздействовать не одной формой насилия, чаще всего применяются сразу два и более видов насилия. Например, ребенка могут словесно оскорбить, а затем ударить.
Основные коды по международной статистической классификации болезней и проблем, связанных со здоровьем, 10-го пересмотра (МКБ-10) диагнозов, связанных с жестоким обращением, представлены в таблице 1.
Обследование ребенка с подозрением на жестокое обращение
Раньше других, начиная с рождения ребенка, за его благополучием наблюдает врач-педиатр, который первым может обратить внимание и зафиксировать факт жестокого обращения и насилия над ребенком. Задача педиатра -правильно и своевременно подойти к решению данного вопроса. Осведомленность педиатров о диагностических критериях и индикаторах жесткого обращения с детьми играет ведущую роль. Разработан алгоритм действий врача при подозрении на жестокое обращение с ребенком [15].
Роль врача заключается не только в уважительном отношении к жалобам ребенка, подробному описанию случая жестокого обращения в медицинских документах, но и в обеспечении защиты прав ребенка. Врач, принявший решение о госпитализации ребенка в медицинское учреждение по причине травм, полученных в результате жестокого обращения, должен направить уведомление в органы опеки и попечительства, комиссию по делам несовершеннолетних, в правоохранительные органы, передав им полномочия по дальнейшей работе со случаем жестокого обращения.
При возникших подозрениях в жестоком обращении врачу следует поговорить с ребенком.
Как вести беседу?
Во-первых, не обещать ему того, чего вы не сделаете. Часто дети готовы рассказать что-то только в том случае, если врач пообещает оставить слова ребенка в секрете.
Во-вторых, позволить ребенку объясняться на понятном ему языке, по возможности использовать его лексику. Часто дети изъясняются посредством жестов, что способствует созданию более полной картины происходящего.
Важно создать комфортную и безопасную для ребенка обстановку, не следует «допрашивать» ребенка для выяснения всех деталей случившегося и правдивости комментариев родителей.
Опрос ребенка лучше всего начать с описания его обычного дня, его дома, мебели, комнаты, где он живет.
При возникновении подозрений на физическое насилие, следует спросить у ребенка:
• Что говорят и делают взрослые, когда они злые?
• Кто-нибудь дерется дома? Как часто это происходит?
При подозрении на сексуальное насилие вопросы следует задавать с осторожностью, учитывая рамки полномочий врача в данном вопросе, а также ст. 23 Конституции РФ о неприкосновенности частной жизни, личной и семейной тайне.
• Тебе нравится, когда тебя обнимают? Это хорошо или плохо? Если это плохо, то почему?
• Было ли так, что, когда тебя где-то трогают, тебе неприятно?
При подозрении на пренебрежение задают такие вопросы:
• Всегда ли у вас дома есть еда? Что ты обычно ешь?
• У тебя есть пальто/куртка и др.?
• Кто стирает твою одежду?
Более детальный расспрос со стороны педиатра не имеет смысла и не целесообразен, это дело соответствующих служб защиты прав ребенка.
Врач не имеет права предъявлять никаких обвинений тем, кто нанес вред ребенку. Разговор должен быть примерно таким: «Я обеспокоен тем, что травмы ребенка произошли не по тем причинам, о которых вы говорите. По закону я обязан сообщить об этом в службу защиты прав ребенка». В случаях, когда предполагают, что ребенку дома наносят серьезный вред, что родители склонны к насилию или что ребенок может быть жестоко наказан за то, что он рассказал все врачу, следует проинформировать соответствующие инстанции до разговора с родителями, для того чтобы ребенку могла быть оказана защита. По закону врачи не обязаны сообщать родителям о своих подозрениях и намерениях.
Осмотр начинают с того момента, когда пациент заходит в кабинет врача. Важно обратить внимание на позу, походку ребенка. О невнимательном или жестоком обращении может свидетельствовать, например, его одежда. Следует обращать внимание на необычность поведения ребенка: если он не улыбается, избегает смотреть в глаза, чрезмерно осторожен и бдителен, то это тоже может быть показателем жестокого с ним обращения.
Особенности поведения детей, ставших жертвами насилия:
• ребенок боится родителей, не идет на контакт со взрослыми;
• детский плач вызывает у ребенка чувство страха;
• крайности в поведении.
Каждый вид жестокого обращения с ребенком имеет особенности диагностики. Кратко они представлены в таблице 2.
Таблица 2. Признаки жестокого обращения с ребенком
|
Тип насилия |
Физические признаки |
Поведенческие признаки |
|
Физическое |
Необъяснимое появление синяков, рубцов, ожогов, переломов или залысин на голове |
Боязнь контакта со взрослыми, с родителями или идти домой |
|
Сексуальное |
Трудность сидеть и ходить |
Распущенность, знания о сексе не по возрасту |
|
Эмоциональное |
Расстройства речи и коммуникации |
Изменение привычек |
|
Пренебрежение |
Постоянный голод |
Задержка развития |
Индикаторы физического насилия над детьми со стороны родителей:
• Необъяснимая отсрочка в обращении за медицинской помощью.
• Противоречия в сообщаемой истории.
• История несовместима с физическими травмами.
• Получение повторных подозрительных травм.
• Родители переносят ответственность за травму на других лиц.
• Родители обвиняют ребенка в полученных повреждениях.
• Ребенок многократно госпитализировался для лечения травм.
• Ребенок обвиняет родителей или опекуна в нанесении повреждений.
• Родители в детстве подвергались насилию.
Примерно 50% случаев физического насилия - это повреждение лица и головы ребенка. Обследование начинают с осмотра волос, их чрезмерное выпадение без видимой причины может быть следствием жестокого обращения (ребенка таскают за волосы). Затем осматривают полость носа - искривление носовой перегородки или запекшаяся кровь в носовых ходах могут говорить о перенесенной травме. Травмы в челюстно-лицевой области также часто указывают на жестокое обращение с детьми (встречаются более чем в половине случаев).
Кровоподтеки различной давности могут свидетельствовать о систематическом избиении ребенка (рис. 1).
Рис. 1. Следы физического насилия
Странгуляционные борозды на руках и ногах, иногда с осаднением, указывают на связывание ребенка. Наличие переломов, особенно нескольких, различной давности, отсутствие связи и/или недостаточно разумное объяснение возникновения травмы также служат основанием для подозрения в насилии над ребенком.
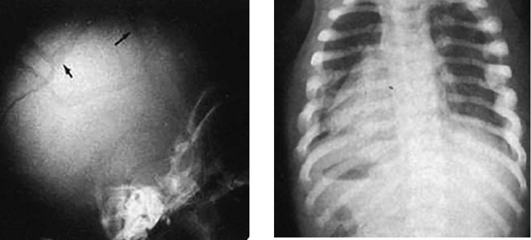
Наиболее частые варианты переломов вследствие жестокого обращения - переломы ребер, метафиза костей в результате тряски за конечность, акромиального отростка лопатки, грудины, стоп, остистых отростков и тел позвонков, множественные переломы черепа (рис. 2).
Рис. 2. Множественные переломы вследствие жестокого обращения с детьми
Подозревать травму головы вследствие жестокого обращения следует при наличии других повреждений (гематомы, переломы), кровоизлияний в сетчатку глаза (отмечают в 70-80% случаев синдрома тряски ребенка). Синдром травматической тряски младенца (Shaken baby syndrome) следует подозревать у всех детей раннего возраста с любыми внутричерепными повреждениями, кровоизлияниями в сетчатку глаза, при несопоставимости тяжести состояния и данных анамнеза. Часто родители детей, обратившихся за медицинской помощью, в качестве причины внутричерепной травмы называют падение ребенка с кровати.
При подозрении на сексуальное насилие не следует проводить осмотр при выраженной негативной реакции ребенка. Обращают внимание на следующие признаки:
• ребенку больно сидеть, ходить;
• окровавленная, рваная одежда и белье;
• кровотечение, синяки в области промежности;
• подтвержденные венерические заболевания;
• травма уздечки верхней губы вследствие насильственного введения полового члена в рот ребенка;
• беременность;
• ребенок не ухожен, отсутствует смена чистого белья и одежды.
Особенности поведения ребенка при сексуальном насилии:
• необычное для ребенка сексуальное поведение и сексуальные фантазии;
• ребенок не общается со сверстниками;
• зуд в области половых органов.
При подозрении на пренебрежение интересами и нуждами ребенка обращают внимание на данные физикального осмотра:
• ребенок постоянно голодный;
• ребенок без надлежащего контроля, находится один без присмотра;
• несоответствующая возрасту и полу одежда;
• ребенок грязный, отсутствует смена чистого белья и одежды;
• ребенок не обследован или не состоит на учете в поликлинике.
Особенности поведения ребенка:
• попрошайничает или ворует еду;
• постоянно уставший;
• употребляет алкоголь, наркотики, психоактивные вещества;
• засыпает на уроках;
• добровольно находится в школе как можно дольше.
Если все попытки врача провести ребенку лечение наталкиваются на негативную реакцию родителей, об этом следует сообщить в службу защиты прав ребенка [16].
Последствия жестокого обращения с детьми
Все последствия жестокого обращения с ребенком условно делят на немедленные и отдаленные. В зависимости от этапа оказания помощи врач будет сталкиваться с различной клинической картиной (табл. 3).
Таблица 3. Немедленные последствия жестокого обращения с детьми
|
Физические |
Репродуктивные |
Психологические |
|
• Травма живота / грудной клетки |
• Нарушения половых функций |
• Вредные привычки |
Довольно часто физические повреждения, полученные вследствие жестокого обращения с ребенком, имеют легкую степень тяжести [17]. Тем не менее это не предупреждает формирование отдаленных последствий насилия.
• «Shaken baby syndrome» - это комплекс негативных последствий травмы головного и спинного мозга у ребенка первых 3 лет жизни из-за тряски или неосторожного обращения. Немедленными проявлениями этого синдрома могут быть рвота, признаки респираторного дистресс-синдрома, сотрясения головного мозга, судороги. Летальность достигает 40%. Отдаленные последствия включают слепоту, трудности в обучении, умственную отсталость, детский церебральный паралич [18].
• Нарушение развития головного мозга. Жестокое обращение с детьми может приводить к нарушениям формирования отдельных областей головного мозга, результатом чего может стать замедление физического, умственного и эмоционального развития. Постоянный стресс от насилия приводит к гиперактивации отдель ных участков головного мозга, что проявляется гиперактивностью, нарушениями сна, тревогой, расстройствами поведения.
• Слабое физическое здоровье. У детей из приемных семей установлена четкая связь между нарушением отношений в семье и отдаленными проблемами со здоровьем, такими как хронические заболевания легких, болезни сердца, онкологические заболевания, переломы, венерические болезни.
• Нарушения психического и эмоционального здоровья. Результаты долгосрочного исследования показали, что у молодых людей, подвергшихся жестокому обращению в детстве, диагностируют как минимум одно психическое расстройство в возрасте 21 года. Выявляют такие нарушения, как депрессия, нарушение питания, тревожные состояния, суицидальные попытки, расстройства внимания.
• Нарушения умственного развития. Дети, отлученные от родителей вследствие жестокого обращения, как правило, имеют более низкие умственные способности и результаты в ходе обучения.
• Социальные проблемы. Детям, испытавшим жестокое обращение, крайне сложно формировать в будущем отношения со взрослыми людьми, в том числе на работе.
• Преступность. Жестокое обращение с детьми приводит к росту подростковой преступности на 56%, взрослой преступности на 28%.
• Злоупотребление наркотиками и алкоголем. У детей, подвергавшиеся жестокому обращению, чаще выявляется алкоголизм, токсикомании, 2/3 всех наркозависимых людей признают факт насилия в детстве.
• Жестокое поведение. Жестокие родители зачастую сами оказались жертвами грубого отношения к ним в детстве. Треть детей, подвергавшихся жестокому обращению, будут грубо обращаться с собственными детьми.
Лечение детей, перенесших насилие
Наличие в анамнезе физической агрессии формирует определенные черты подрастающей личности. Для таких детей характерны: обидчивость; замкнутость; импульсивность; сниженная самооценка; плаксивость; стремление к уединению; бродяжничество; грубость в отношении слабого сверстника или младшего ребенка; садистские проявления к животным. В психоневрологическом статусе отмечают: тики, тикоидные гиперкинезы; снижение внимания; отсутствие способности к сосредоточению; ночные страхи, фобии иного рода; двигательную расторможенность; навязчивую мастурбацию; энурез; энкопрез.
Эмоциональные и поведенческие особенности в значительной степени зависят от возраста ребенка, подвергшегося насилию (табл. 4).Эмоциональные и поведенческие особенности в значительной степени зависят от возраста ребенка, подвергшегося насилию (табл. 4).
Таблица 4. Психологические последствия и особенности поведения детей, подвергшихся физическому насилию, в зависимости от их возраста
|
Возраст |
Психологические и поведенческие особенности |
|
до 3-х лет |
• Малоподвижность, отсутствие или слабая реакция на внешние стимулы (у младенцев) |
|
3-6 лет |
• Пассивность, смирение с тем, что происходит |
|
Младший школьный возраст |
• Стремление скрыть причину повреждений и травм • Боязнь идти домой после школы • Одиночество, отсутствие друзей • Сниженная концентрация внимания, плохая успеваемость • Агрессивность • Воровство • Уходы из дома |
|
Подростковый возраст |
• Бродяжничество • Делинквентное поведение • Употребление алкоголя, наркотиков • Депрессия, суицидальные попытки |
В основу модели оказания помощи детям, пострадавшим от жестокого обращения, положены два ключевых направления.
Первое направление основывается на том, что значительная часть случаев насилия над детьми, по поводу которых граждане обращаются за помощью, являются преступлениями. По этой причине обязательным элементом помощи, оказываемой детям и их семьям, становится правовая поддержка. В п. 3 ст. 56 «Право ребенка на защиту» Семейного кодекса РФ говорится, что «Должностные лица организаций и иные граждане, которым станет известно об угрозе жизни или здоровью ребенка, о нарушении его прав и законных интересов, обязаны сообщить об этом в орган опеки и попечительства по месту фактического нахождения ребенка. При получении таких сведений орган опеки и попечительства обязан принять необходимые меры по защите прав и законных интересов ребенка».
Второе направление основывается на том, что жестокое обращение с ребенком, особенно сексуальное насилие, становится для него тяжелой психической травмой, для устранения которой ему необходимо оказание квалифицированной психологической, а в ряде случаев и психиатрической помощи.
Профилактика детского насилия
Каждого ребенка следует обучать простым правилам поведения со взрослыми людьми. Эта роль принадлежит не только родителям ребенка, но и врачам, учителям, социальным работникам. Особое значение играет формирование отношений между родителями. Атмосферу семьи формирует в первую очередь мать, поэтому психологический портрет матери играет решающую роль в физическом и эмоциональном состоянии ребенка.
Профилактическую роль также играют органы опеки и попечительства. Семейное, гражданское и уголовное законодательство выделяет следующие направления работы органов опеки и попечительства по предупреждению жестокого обращения с детьми:
• внесудебное разрешение конфликтов, связанных с воспитанием детей, а также с отношениями между членами семьи;
• обращение с иском в суд при грубом нарушении родителями прав и законных интересов ребенка;
• участие в судебном рассмотрении споров, связанных с воспитанием детей, включая подготовку заключения по существу спора;
• принятие органами опеки и попечительства правовых актов, направленных на защиту прав и законных интересов детей.
Исключительная мера ответственности за невыполнение родительского долга - ограничение или лишение родительских прав. Лишение родительских прав допускается только по основаниям и в порядке, установленном законом. С ограничением родительских прав прекращаются не только права, но и некоторые обязанности родителей, за исключением алиментной обязанности - за родителями, лишенными родительских прав, сохраняется обязанность содержать своего ребенка [19].
В 2016 г. экспертами ВОЗ разработана программа «INSPIRE: семь стратегий по прекращению насилия в отношении детей», которая представляет собой набор технических рекомендаций и справочное пособие по выбору, осуществлению и отслеживанию эффективных стратегий, программ и услуг по профилактике насилия в отношении детей и борьбе с ним. «INSPIRE» - акроним, в котором каждая буква соответствует определенной стратегии:
I -(Implementation and enforcement of laws) - принятие и правоприменение нормативных актов;
N - (Norms and values) -нормы и ценности;
S - (Safe environments) - создание безопасной среды;
P - (Parent and caregiver support) - поддержка родителям и ухаживающим за детьми лицам;
I - (Income and economic strengthening) - повышение доходов и улучшение экономического положения;
R - (Response and support services) - ответные меры и оказание поддержки;
E -(Education and life skills) - обучение и формирование жизненных навыков [20].
В 2017 г. Организацией Объединенных Наций (ООН) была принята Глобальная повестка дня на период до 2030 года: построение более безопасного мира для детей, положить конец всем формам насилия и жестокого обращения с детьми, их безнадзорностью и эксплуатацией.
Лидерами международной политики, направленной на снижение уровня насилия в отношении детей, являются Детский фонд ООН (ЮНИСЕФ - UNICEF, United Nations International Children’s Emergency Fund) и ВОЗ.
В 2020 г. был опубликован Глобальный отчет о ситуации с предупреждением насилия в отношении детей, в котором констатировалось, что в целом страны пока не справляются с задачей предупреждения насилия в отношении детей, но отмечен прогресс в рамках программы INSPIRE.
В России безопасность детей и их защита - одна из первостепенных задач, отраженная в программе «Десятилетие детства» на период до 2027 года. В плане мероприятий предусмотрена разработка и реализация системных решений по оказанию своевременной помощи детям и родителям в случае нарушения прав и законных интересов детей.
Литература
1. World report on violence and health / E.G. Krug [et al.] eds. Geneva, World Health Organization, on October 3rd, 2002. 360 р. URL: who.int/publications-detail-redirect/9241545615 (дата обращения: 18.11.2025).
2. Уголовный кодекс Российской Федерации от 13.06.1996 N 63-ФЗ (ред. от 17.11.2024). Статья 156. Неисполнение обязанностей по воспитанию несовершеннолетнего. URL: consultant. ru/document/cons_doc_LAW_10699/48132b89ef9920ae94d8d48c6 58ebf60d3c66ca9/?ysclid=lub0e9io9e495663300 (дата обращения: 18.11.2025).
3. Семейный кодекс Российской Федерации от 29.12.1995 N 223-ФЗ (ред. от 23.11.2024, с изм. от 30.10.2025 (с изм. и доп., вступ. в силу с 05.02.2025) 02.07.2021). URL: consultant.ru/document cons_doc_LAW_8982/63f7e6b16fb0b61f6f8072ccd6a8ed10b3349c сс/(дата обращения: 18.11.2025).
4. Постановление Пленума Верховного Суда Российской Федерации № 10 от 27 мая 1998 г. «О применении судами законодательства при разрешении споров, связанных с воспитанием детей» (с изменениями, внесенными постановлением Пленума от 26 декабря 2017 г. № 56). URL: consultant.ru/document cons_doc_LAW_18980/?ysdid=lub05issuv957940006(дата обращения: 18.11.2025).
5. Коваль Н.В. К вопросу о необходимости определения понятия «жестокое обращение с ребенком» // Национальный психологический журнал. 2015. № 1 (17). С. 16-25.
6. Доклад о положении дел в мире в сфере предупреждения насилия в отношении детей. 2020. Совместная публикация ВОЗ, ЮНИСЕФ, ЮНЕСКО, Специального представителя Генерального секретаря ООН по вопросу о насилии в отношении детей и Глобального партнерства по прекращению насилия в отношении детей. URL: who.int/ru/teams/social-determinants-of-health/vio… (дата обращения: 18.11.2025).
7. Опасность и возраст: в России увеличилось число преступлений против детей. URL: iz.ru/1463589/iana-shturma/opasnost-i-vozrast-v-ro… (дата обращения: 18.11.2025).
8. Смертность детского населения Российской Федерации от внешних причин / А.П. Фесенко [и др.] // Российский педиатрический журнал. 2020. Т. 23, № 2. С. 116-12. DOI: 10.18821/1560-9561-ъ2020-23-2-116-125.
9. Сексуальное насилие и эксплуатация детей: выявление, оказание помощи и профилактика : научно-методическое пособие / под ред. М.М. Русаковой, В.А. Одиноковой. СПб. : «Скифия-Принт». 2020. 296 с.
10. Блохин Б.М., Гаврютина И.В. Жестокое обращение с детьми. Неотложная педиатрия : Национальное руководство / под ред. Б.М. Блохина. М. : ГЭОТАР-Медиа, 2017. С. 778-799.
11. Осведомленность и компетенции педиатров первичного звена по вопросам жестокого и ненадлежащего обращения с детьми: результаты одномоментного исследования / Л.С. Намазова-Баранова [и др.] // Педиатрическая фармакология. 2020. Т. 17, № 5. С. 429-436. DOI: 10.15690/pf.v17i5.2162. URL: cyberleninka. ru/article/n/osvedomlennost-i-kompetentsii-pediatrov-pervichnogo-zvena-po-voprosam-zhestokogo-i-nenadlezhaschego-obrascheniya-s-detmi-rezultaty (дата обращения: 18.11.2025).
12. Алексеева И.А., Новосельский И.Г. Жестокое обращение с ребенком. Причины. Последствия. Помощь. 4-е изд., перераб. и доп. М. : Национальный фонд защиты детей от жестокого обращения, 2020. 470 с.
13. Марголина И.А., Козловская Г.В., Проселкова М.Е. Психические расстройства у детей, подвергшихся хроническому внутрисемейному насилию // Психиатрия. 2003. № 5. С. 21-24.
14. Медико-социальные аспекты жестокого обращения с детьми / Д.О. Иванов [и др.] // Children’s medicine of the North-West. 2024. Т. 12, № 1. С. 5-18. DOI: 10.56871/CmN-W.2024.98.73.001.
15. Приказ Министерства здравоохранения Российской Федерации 24.06.2021 г. № 664н от 24 июня 2021 г. № 664н «Об утверждении порядка информирования медицинскими организациями органов внутренних дел в случаях, установленных пунктом 5 части 4 статьи 13 Федерального закона "Об основах охраны здоровья граждан в Российской Федерации» URL: normativ.kontur.ru/document? moduleId=1&documentId=490090 (дата обращения: 18.11.2025).
16. Румянцев А.Г., Древаль О.Н., Фениксов В.М. Синдром «shaken baby»: диагностика, лечение, профилактика // Вопросы практической педиатрии. 2007. Т. 2, № 2. С. 23-29.
17. Уголовный кодекс Российской Федерации от 13.06.1996 N 63-ФЗ (ред. от 17.11.2025). URL: consultant.ru/document cons_doc_LAW_10699/48132b89ef9920ae94d8d48c658ebf60d3c66 са9/(дата обращения: 18.11.2025).
18. Long-Term Consequences of Child Abuse and Neglect. National Clearinghouse on Child Abuse and Neglect Information. - National Adoption Information Clearinghouse, Child Welfare Information Gateway. (2013). Long-term consequences of child abuse and neglect. Washington, DC: U.S. Department of Health and Human Services, Children's Bureau. URL: childwelfare.gov
19. Федеральный закон от 24.06.1999 № 120-ФЗ (ред. от 24.04.2020) «Об основах системы профилактики безнадзорности и правонарушений несовершеннолетних» (с изменениями на 1 апреля 2025 года) URL: consultant.ru/document/cons_doc_ LAW_23509/1f772ef2fd7c7408351016d6c89e47a94316dc25/ (дата обращения: 18.11.2025).
20. INSPIRE: семь стратегий по ликвидации насилия в отношении детей [INSPIRE: seven strategies for ending violence against children]. Женева: Всемирная организация здравоохранения, 2017. 109 с.