akvion.ru
Комплексное влияние
на основные проявления
климактерического синдрома:
• снижает частоту и выраженность приливов;
• нормализует гормональный баланс;
• улучшает психоэмоциональный фон.
Больше информации на сайте:
mense.ru
Роль фитоэстрогенов в комплексной терапии и профилактике рецидивирующей инфекции нижних мочевых путей у пациенток в климактерии
СтатьиН.А. НАШИВОЧНИКОВА1, В.Н. КРУПИН1, С.Ю. ЗУБОВА2, В.Е. ЛЕАНОВИЧ3
1ФГБОУ ВО «Приволжский исследовательский медицинский университет» Минздрава России, Нижний Новгород, Россия
2ГБУЗ НО «Нижегородская областная клиническая больница имени Н.А. Семашко», Нижний Новгород, Россия 3АО «Аквион», Москва, Россия
Цель: Изучение влияния БАД «Менсе» на состояние урогенитальной зоны у пациенток с рецидивирующей инфекцией нижних мочевых путей в период пери- и постменопаузы и риск развития рецидивов инфекций мочевых путей.
Материалы и методы: В исследовании приняли участие 86 пациенток в пери- и постменопаузе с симптомами вагинальной и цистоуретральной атрофии и рецидивирующими циститами. Основную группу составили 44 пациентки, контрольную — 42 пациентки. Пациенткам обеих групп назначалась стандартная терапия в период обострения мочевой инфекции. Для профилактики рецидивов цистита всем пациенткам назначали продукты на основе проантоцианидинов клюквы в сочетании с рекомендациями питья не менее 1,5 л в сутки и правильной гигиеной мочевых путей. Кроме этого, пациентки основной группы дополнительно в течение 1 месяца принимали БАД «Менсе» по 1 капсуле 2 раза в день во время еды. Исследование состояния тазовой венозной гемодинамики и микроциркуляции в стенке мочевого пузыря проводили с использованием методов ультразвуковой допплерографии и лазерной допплеровской флоуметрии. Измерение параметров микроциркуляции мочевого пузыря выполняли с помощью лазерного анализатора капиллярного кровообращения «ЛАКК-02».
Результаты: В ходе проведенного исследования все пациентки основной группы отмечали значительное улучшение общего самочувствия, уменьшение тяжести, боли внизу живота и дискомфорта в области уретры во время визитов через 1 и 6 месяцев. Применение БАД «Менсе» у женщин с хроническим рецидивирующим циститом на фоне пери- и постменопаузы позволяет добиться большего клинического эффекта за счет выраженного улучшения микроциркуляции в стенке мочевого пузыря и уретры и положительной динамики в отношении тазового венозного кровотока.
Заключение: Включение фитоэстрогенов БАД «Менсе» в комплексную терапию рецидивирующей инфекции мочевых путей на фоне пери- и постменопаузы не только способствует улучшению состояния урогенитальной зоны, но и значительно снижает количество рецидивов цистита.
Ключевые слова: климактерий, фитоэстрогены, комплексная терапия, профилактика, рецидивы цистита.
Вклад авторов: Нашивочникова Н.А. — разработка дизайна исследования, получение данных для анализа, обзор публикаций по теме статьи, анализ полученных данных, написание текста рукописи; Леанович В.Е. — обзор публикаций по теме статьи, написание текста рукописи; Крупин В.Н. — сбор данных, анализ полученных данных; Зубова С.Ю. — получение данных для анализа.
Конфликт интересов: Авторы заявляют об отсутствии возможных конфликтов интересов.
Финансирование: Статья напечатана при поддержке компании «Аквион», Россия.
Одобрение Этического комитета: Исследование было одобрено локальным Этическим комитетом ФГБОУ ВО ПИМУ Минздрава России.
Согласие пациентов на публикацию: Пациенты подписали информированное согласие на публикацию своих данных и изображений.
Обмен исследовательскими данными: Данные, подтверждающие выводы этого исследования, доступны по запросу у автора, ответственного за переписку, после одобрения ведущим исследователем.
Для цитирования: Нашивочникова Н.А., Крупин В.Н., Зубова С.Ю., Леанович В.Е. Роль фитоэстрогенов в комплексной терапии и профилактике рецидивирующей инфекции нижних мочевых путей у пациенток в климактерии. Акушерство и гинекология. 2023; 8: https ://dx.doi.org/10.18565/aig.2023.165
THE ROLE OF PHYTOESTROGENS IN THE COMPLEX THERAPY AND PREVENTION OF THE RECURRENT LOWER URINARY TRACT INFECTION IN CLIMACTERIC PATIENTS
N.A. NASHIVOCHNIKOVA1, V.N. KRUPIN1, S.YU. ZUBOVA2, V.E. LEANOVICH3
1Privolzhsky Research Medical University, Ministry of Health of Russia, Nizhny Novgorod, Russia 2N.A. Semashko Nizhny Novgorod Regional Clinical Hospital, Nizhny Novgorod, Russia 3Akvion LLC, Moscow, Russia
Objective: To study the effect of Mense dietary supplements on the state of the urogenital zone in patients with recurrent lower urinary tract infection during peri- and postmenopause and to evaluate the risk of recurrent urinary tract infection.
Materials and methods: The study included 86 patients in peri— and postmenopause with the symptoms of vaginal and cystourethral atrophy and recurrent cystitis. The main group consisted of 44 patients, the control group included 42 patients. The patients of both groups received standard therapy for acute urinary infection. To prevent recurrent cystitis, all patients were administered medications containing cranberry proanthocyanidins. The patients were also recommended to consume not less than 1.5L offluid per day and to maintain the proper hygiene of the urinary tract. The patients of the main group additionally received Mense dietary supplements, 1 or 2 capsules per day during a meal for one month. The state ofpelvic venous hemodynamics and microcirculation of the bladder wall were assessed with the help of Doppler sonography and laser Doppler flowmetry. Bladder microcirculation parameters were measured using laser analyser of blood microcirculation (LAKK-02, Russia).
Results: During the study all the patients of the main group noticed the considerable improvement in general wellbeing, decrease in tenderness, relief ofpain in the lower abdomen and discomfort in the urethra area after 1 and 6 months. The use of Mense dietary supplements in women with chronic recurrent cystitis in the period of peri— and postmenopause helps to achieve higher clinical effect due to the remarkable improvement in the circulation of the bladder wall and urethra and positive dynamics in pelvic venous blood flow.
Conclusion: The complex therapy containing Mense supplements with phytoestrogens for the recurrent infection of the urinary tract during peri— and postmenopause contributes to the improvement in the state of the urogenital zone, and also considerably reduces the number of cystitis recurrences.
Keywords: climacteric, phytoestrogens, complex therapy, prevention, recurrent cystitis.
Authors' contributions: Nashivochnikova N.A. - development of the study design, obtaining data for analysis, review of publications on the topic of the article, analysis of the data obtained, writing the text of the manuscript; Leanovich V.E. - review of publications on the topic of the article, writing the text of the manuscript; Krupin V.N. - data collection, analysis of the data obtained; Zubova S.Yu. - data acquisition for analysis.
Conflicts of interest: The authors declare no possible conflicts of interest.
Funding: The article was financially supported by the Akvion Company, Russia.
Ethical Approval: The study was approved by the Ethical Review Board of the Privolzhsky Research Medical University, Ministry of Health of Russia.
Patient Consent for Publication: All patients signed an informed consent for the publication of their data.
Authors' Data Sharing Statement: The data supporting the findings of this study are available on request from the corresponding author after approval from the principal investigator.
For citation: Nashivochnikova N.A., Krupin V.N., Zubova S.Yu., Leanovich V.E. The role of phytoestrogens in the complex therapy and prevention of the recurrent lower urinary tract infection in climacteric patients.
Akusherstvo i Ginekologiya/Obstetrics and Gynecology. 2023; (8): (in Russian) dx.doi.org/10.18565/aig.2023.165
Согласно современным данным, симптомы нижних мочевых путей (СНМП) - это целый комплекс различного вида расстройств мочеиспускания, характерный как для мужчин, так и для женщин, включающий симптомы накопления, опорожнения и симптомы после мочеиспускания [1-3].
К наиболее часто встречающимся причинам СНМП у женщин относится цистит - воспаление слизистой оболочки мочевого пузыря, возникающее на фоне воздействия бактериального, вирусного, грибкового агентов или имеющее неинфекционную природу. Больше половины женщин хотя бы раз в жизни переносят цистит [4-6]. Классическая модель инфицирования мочевого пузыря заключается в колонизации, как правило, кишечной флорой влагалища и периуретральной зоны, которая восходящим путем проникает в нижние мочевые пути, запуская воспалительный процесс. Этому способствуют активная половая жизнь, смена сексуального партнера, использование спермицидов, дистопия наружного отверстия уретры, сопутствующие гинекологические заболевания и урогенитальная инфекция [7].
Механизмы формирования СНМП сложны и многогранны. Прежде всего связаны с физиологическим старением, изменением структуры и функции детрузора мочевого пузыря, повреждением уротелия. С возрастом ухудшается способность тканей к репарации, уменьшается их эластичность и кровоснабжение и, как итог, развиваются клеточная атрофия, истончение эпителия, дегенерация нервных окончаний [8, 9]. На фоне старения, гормональных перестроек, хронического воспаления слизистой мочевого пузыря в ней обнаруживаются дефекты в виде расширения просветов между клетками эпителия. В результате потери гликозаминогликанов защитного слизистого слоя раздражающие факторы, содержащиеся в моче, могут воздействовать на нервные волокна подслизистого слоя, вызывая нейрогенное воспаление, тем самым поддерживая ирритативные симптомы. Это облегчает и возникновение инфекционного воспалительного процесса [10—12].
Таким образом, гормональный фон, достаточный уровень эстрогенов, определяет не только здоровье женщины в целом, но и обеспечивает защиту урогенитальной зоны, в том числе от частых рецидивов инфекции. Эстрогены позволяют поддерживать кислую среду во влагалище, что способствует размножению лактобактерий и подавляет колонизацию влагалища бактериями из кишечника, вызывающими развитие заболевания. Дефицит эстрогенов приводит к изменению преобладающей флоры во влагалище: к замене лактобактерий на кишечную палочку (Escherichia coli) и другие энтеробактерии (Enterobacterales), что, возможно, является самым важным фактором риска инфекции мочевых путей у женщин, связанным с возрастом [13].
Урогенитальные симптомы прежде всего связаны с изменением структуры и функции, возникающим с возрастом в эстрогензависимых органах и тканях полового тракта и нижних мочевых путей. Если среди женщин в возрасте до 55 лет урогенитальные расстройства встречаются у каждой третьей, то к 70 годам частота их резко увеличивается до 75% [14].
Наряду с дефицитом эстрогенов важным фактором в развитии рецидивирующих циститов является нарушение тазовой гемодинамики [15].
Ряд исследований, посвященных состоянию тазовой венозной гемодинамики, выявил прямую взаимосвязь урогенитальных расстройств у женщин с наличием у них варикозного расширения вен малого таза (ВРВМТ) [15]. Частота ВРВМТ увеличивается пропорционально возрасту: если у девушек до 17 лет — это каждая пятая, то ближе к менопаузе количество таких женщин увеличивается до 80% [15, 16].
В свою очередь, выраженный венозный застой в тазовом сплетении усугубляет гипоксию в тканях органов малого таза, а поскольку слизистая мочевого пузыря весьма чувствительна к ишемии, это облегчает развитие впервые возникшей или очередной воспалительной реакции. Именно гипоксия чаще всего является пусковым механизмом, важным патогенетическим фактором воспаления, изменений структуры и функции связочного аппарата малого таза, потери эластичности тканей и перестройки эпителия коллагеновых структур подэпителиального слоя в мочевом пузыре, что ведет к хронизации процесса [17, 18].
Важными составляющими в патогенезе урогенитальных расстройств являются изменения рецепторного аппарата нижних мочевых путей. С возрастом в нижних мочевых путях начинают преобладать альфа-1а-адренорецепторы, количество же альфа-1d-адренорецепторов уменьшается; повышается чувствительность мускариновых рецепторов к ацетилхолину. Сочетание вышеуказанных факторов и приводит к развитию СНМП и атрофии эпителия урогенитального тракта [19].
Клиническая картина урогенитальных расстройств в климактерическом периоде складывается из симптомов, связанных с вагинальной атрофией (дискомфорт, жжение, сухость в области влагалища), и расстройств мочеиспускания [19, 20]. Последние могут включать симптомы накопления, опорожнения и постмикционные жалобы.
Поэтому лечение пациенток с рецидивирующими циститами на фоне урогенитальной атрофии должно быть комплексным, состоящим не только из антимикробной терапии, но и направленным на улучшение трофики тканей полового тракта, нижних мочевых путей.
Для улучшения состояния урогенитальной зоны при противопоказаниях или при нежелании женщин использовать местные гормональные препараты могут быть назначены фитоэстрогены в составе комплексной терапии. Существует ряд исследований, где показана роль локальных и системных фитоэстрогенов в лечении генитоуринарного синдрома и вульвовагинальной атрофии у женщин в постменопаузальном периоде, в том числе и у онкогинекологических пациенток [21, 22]. Доброхотова Ю.Э., Ильина И.Ю. и соавт. изучали влияние СО2-лазера в сочетании с вагинальной формой фитоэстрогенов на течение генитоуринарного синдрома у женщин постменопаузального возраста, перенесших лечение по поводу рака тела матки. Авторы получили дополнительный положительный эффект местных фитоэстрогенов в отношении проявлений генитоуринарного синдрома, в том числе и течения рецидивирующих циститов [21]. Зарубежные исследователи изучали влияние цимицифуги рацемоза на толщину вагинального эпителия в постменопаузе и получили положительное действие в отношении толщины поверхностных слоев влагалища у постменопаузальных женщин и уменьшения симптомов вульвовагинальной атрофии [22].
Не являясь стероидами, фитоэстрогены способны связываться с эстрогеновыми рецепторами, обеспечивая тем самым необходимые биологические эффекты [23].
Биологически активная добавка (БАД) «Менсе» («Аквион», Россия) содержит комплекс фитоэстрогенов — изофлавоны сои, экстракт гриффонии — источника 5-гидрокситриптофана, а также бета-аланин, фолиевую кислоту, витамины B5, B6, B12, С и Е. Клинически доказано действие Менсе на снижение частоты и выраженности приливов, нормализацию артериального давления, нейровегетативные и психоэмоциональные симптомы менопаузы. Благодаря 5-гидрокситриптофану и витаминам группы B БАД «Менсе» обладает антидепрессивным действием и эффективна при нарушениях сна у женщин в менопаузе [24]. Авторы настоящей статьи решили изучить влияние БАД «Менсе» на течение цистоуретральной атрофии у женщин в пери- и постменопаузе. Связь цистоуретральной атрофии с рецидивами цистита изучала Балан В.Е. и соавт. Они показали положительное влияние на течение цистоуретральной атрофии и уменьшение рецидивов цистита при применении местной формы эстрогенов в сочетании с препаратом на основе лактобактерий [19].
Цель исследования: изучение влияния БАД «Менсе» на состояние урогенитальной зоны у пациенток с рецидивирующей инфекцией нижних мочевых путей в период пери- и постменопаузы и риск развития рецидивов инфекции мочевых путей.
Материалы и методы
В исследовании приняли участие 86 пациенток в пери- и постменопаузе с симптомами вагинальной и цистоуретральной атрофии и рецидивирующими циститами.
Возраст пациенток составил от 48 до 70 лет (средний возраст 55,8±5,4 года), длительность постменопаузы - от 3 до 26 лет (в среднем 11,03±6,4 года), длительность урогенитальных проявлений — от 2 до 7 лет (в среднем 4,7±1,8 года); при этом в возрасте до от 48 до 55 лет данные проявления отмечены в течение 2-4 лет, у пациенток старше 55 лет - более 4 лет. Число рецидивов колебалось от 2 до 15 эпизодов в год (в среднем за последний год составило 5,2±2,8 эпизода). При этом у пациенток от 48 до 55 лет частота рецидивов колебалась от 2 до 5 в год, у женщин старше 55 лет - от 5 до 15 эпизодов в год. В анамнезе все пациентки получали антимикробную терапию от 2 до 15 курсов в течение года.
До включения в исследование пациентки не получали менопаузальную гормональную терапию.
Пациентки были разделены на 2 группы, сопоставимые по возрасту и клинической картине заболевания. Основную группу составили 44 пациентки, контрольную - 42 женщины.
Пациенткам обеих групп назначалась стандартная терапия в период обострения мочевой инфекции (фосфомицина трометамол в дозе 3 г однократно) [25].
Согласно Европейским рекомендациям урологов (2023), для профилактики рецидивов цистита всем пациенткам назначали продукты на основе проантоцианидинов клюквы в сочетании с рекомендациями питья не менее 1,5 л в сутки и правильной гигиеной мочевых путей [26]. Кроме этого, пациентки основной группы дополнительно в течение 1 месяца принимали БАД «Менсе» по 1 капсуле 2 раза в день во время еды.
Результаты оценивали через 1 и 6 месяцев от начала терапии.
Критериями включения в исследование стали: подтвержденный диагноз (урогенитальная атрофия и рецидивирующая инфекция мочевых путей) у пациенток в менопаузе; подписанное информированное согласие.
Критерии исключения: заболевания, передаваемые половым путем; инфравезикальная обструкция; воспалительные заболевания верхних мочевых путей; онкологические заболевания верхних и нижних мочевых путей; тяжелая соматическая патология (энцефалопатии различного генеза; декомпенсированный сахарный диабет; нейротрофические нарушения); противопоказания к применению БАД «Менсе».
Для оценки результатов пациенткам предлагалось заполнять визуально-аналоговую шкалу боли (ВАШ) с градуировкой от 0 до 10, в которой 0 соответствует отсутствию боли, 10 - невыносимой боли до и после лечения.
На протяжении наблюдения пациенткам проводили микроскопическое исследование отделяемого влагалища, общий анализ мочи и бактериологическое исследование мочи с определением чувствительности к антибиотикам.
При проведении исследования использован лазерный анализатор микроциркуляции крови ЛАКК-02 (НПП «ЛАЗМА», Россия), состоящий из двух излучателей для зондирования ткани в видимой красной области спектра излучения и в инфракрасной области, фотоприемного устройства и световодных зондов-датчиков, сконструированных для работы в жидкой среде (рис. 1). В качестве излучателя используется гелий-неоновый лазер типа ЛГН-207Б или ЛГН-208Б с длиной волны 0,63 мкм. Мощность лазерного излучения на входе светового кабеля составляет не менее 0,5 мВт [27].
Рис. 1. ЛАКК-02 (исполнение 4), изображение зонда в полости мочевого пузыря


Зонд, с помощью которого проводится исследование, вводится в уретру и устанавливается на ее слизистую или вводится в полость мочевого пузыря и прикасается к его слизистой, анализируется частотный спектр отраженного сигнала от движущихся эритроцитов [28].
Параметры микроциркуляции (ПМ), регистрируемые при лазерной допплеровской флоуметрии (ЛДФ), зависят от скорости движения эритроцитов в зондируемом объеме ткани. Определяя скорость движения эритроцитов по сосудам, можно определить и оценить их концентрацию и распределение в исследуемых тканях. Запись ЛДФ-граммы производится в режиме наблюдения (не менее 2—3 минут), при этом регистрируется среднестатистическое значение ПМ (характеризует поток эритроцитов в единицу времени через единицу объема ткани, измеряемых в перфузионных единицах (перф. ед.)). Колебания кровотока в тканях называются осцилляциями или флаксмоциями (flux motion); они являются основными показателями жизнедеятельности тканей и отражают изменчивость гемодинамики в зависимости от постоянно меняющихся условий и потребностей тканей в перфузии их кровью. Эту изменчивость и отражает ЛДФ-грамма в виде важной характеристики потока эритроцитов — о или среднеквадратическое отклонение (СКО) статистически значимых колебаний скорости эритроцитов. Соотношение перфузии ткани и величины ее изменчивости (СКО) характеризуется коэффициентом вариации Kv (Kv= 8/ПМх100%). Чем выше Kv, тем лучше выражена вазомоторная активность микрососудов [28].
Этот метод позволяет не только определить основные ПМ, но и выделить преобладание того или иного активного фактора контроля системы микроциркуляции. Представленные в амплитудно-частотном спектре ЛДФ-граммы колебания укладываются в диапазоне частот от 0,05 до 2 Гц.
Если превалирует миогенный механизм, для ЛДФ-граммы характерна периодичность колебаний (флаксмоций) (диапазон 0,07—0,15 Гц), при нейрогенном механизме регуляции кровотока (диапазон 0,02— 0,052 Гц) наблюдаются апериодические колебания за счет частых вазоконстрикторных фаз [28, 29].
Болевой синдром оценивали с помощью цифровой рейтинговой шкалы: 0—4 балла — дискомфорт, нет боли; 4,5—7 баллов — умеренная боль; 7,5—9 и более баллов — сильная боль; 10 баллов — нестерпимая боль.
В основе градации болевого синдрома лежит наличие границ категорий тяжести боли, при которых происходят качественные и количественные изменения характера влияния боли на основные параметры качества жизни.
Статистический анализ
Значимость различий исходных и финальных показателей была оценена с помощью парного t-теста Стьюдента. Значимость различий показателей между основной и контрольной группами была оценена с помощью метода Манна-Уитни в случае непараметрических критериев. Критическое значение уровня значимости принималось равным 5% (р <0,05).
Результаты
На этапе включения, перед участием в исследовании, все женщины обследовались у гинеколога. У 10/44 (22,7%) пациенток основной группы и у 12/42 (28,6%) пациенток контрольной группы были выявлены явления вагинальной атрофии (отмечались атрофические изменения преддверия (бледная, истонченная слизистая с участками кровоизлияний [19], сглаженная складчатость)). Пролабирование слизистой наружного отверстия уретры с участками петехиального кровоизлияния зарегистрировано у 6/42 (14,3%) пациенток контрольной и у 4/44 (9,1%) основной группы пациенток; возраст этих женщин был старше 62 лет (средний возраст 64,3±4,5 года). Наряду с гемодинамическими расстройствами малого таза, именно эти изменения урогенитальной зоны служат основными причинами болевого синдрома у женщин в климактерии.
В ходе проведенного исследования у всех пациенток основной группы (n=44), у которых в рамках лечения совместно с противомикробной терапией в период обострения инфекции использовалась БАД «Менсе», наблюдалось значительное уменьшение тяжести/боли внизу живота и дискомфорта в области уретры и улучшение общего самочувствия на визите через 1 месяц после начала приема препарата и на втором визите через 6 месяцев наблюдения.
Выраженность болевого синдрома в процессе лечения и наблюдения представлена в таблице 1.
При анализе данных в основной группе наблюдается уменьшение выраженности боли в баллах в 2,5 раза через 1 месяц терапии с использованием БАД «Менсе»; при этом положительная динамика сохранялась и через 6 месяцев наблюдения; снижение болевого синдрома в баллах наблюдалось более чем в 3 раза, тогда как в контрольной группе уменьшение боли было менее выражено, что свидетельствует об улучшении состояния урогенитальной зоны на фоне использования фитоэстрогенов (табл. 1).
Таблица 1. Динамика выраженности болевого синдрома (средний балл) у пациенток основной (n=44) и контрольной (n=42) групп
|
Группа |
Визит включения |
1 месяц после начала терапии |
6 месяцев наблюдения |
|
Основная |
7,9±1,5 |
3,1±0,4 |
2,5±0,1 |
|
Контрольная |
7,7±1,8 |
6,4±0,7 |
6,7±0,2 |
Авторы статьи ранее изучали динамику тазовой венозной гемодинамики на этапе предгравидарной подготовки у женщин при приеме препарата «Прегнотон» [30].
Учитывая тот факт, что с возрастом у женщин увеличивается частота ВРВМТ, особенно после наступления менопаузы, был также проведен анализ показателей тазовой гемодинамики и состояния уретры (имеется расширение или нет) и парауретрального сосудистого сплетения у пациенток основной и контрольной групп. Методом ультразвуковой допплерографии был обнаружен выраженный венозный застой (диаметр вен от 6 мм) в тазовом венозном сплетении у большинства пациенток: 39/44 (88,6%) - в основной и 36/42 (85,7%) -в контрольной группе; у остальных пациенток — 5/44 (11,4%) в основной и 6/42 (14,3%) в контрольной - вены были умеренно расширены.
В таблицах 2 и 3 прослеживается уменьшение диаметра ВРВМТ от визита включения до последнего визита через 6 месяцев наблюдения в основной и контрольной группах.
Таблица 2. Динамика диаметра тазовых вен пациенток основной группы с использованием БАД «Менсе» (n=44)
Вены малого таза | Визит включения. Диаметр вены, мм (скорость кровотока, см/с) | 6 месяцев наблюдения. Диаметр вены, мм (скорость кровотока, см/с) |
Вены наружных боковых поверхностей матки | 8,4±1,2 (17,96±0,14) | 6,28±0,19 (16,54±0,14) |
Вены параовариальных областей | 7,4±0,5 (15,25±0,36) | 5,24±0,58 (15,58±0,67) |
Вены аркуатного сплетения | 3,3±0,2 (6,45±0,84) | 3,18±0,13 (5,34±0,02) |
Вены парауретрального сплетения | 4,7±0,5 (6,2±0,24) | 3,3±0,01 (5,32±0,1) |
Таблица 3. Динамика диаметра тазовых вен пациенток контрольной группы (n=42)
Вены малого таза | Визит включения. Диаметр вены, мм (скорость кровотока, см/с) | 6 месяцев наблюдения. Диаметр вены, мм (скорость кровотока, см/с) |
Вены наружных боковых поверхностей матки | 8,2±1,7 (18,22±0,27) | 8,2±0,56 (16,42±0,24) |
Вены параовариальных областей | 6,4±1,2 (16,88±0,27) | 6,22±0,48 (16,69±0,47) |
Вены аркуатного сплетения | 3,8±0,2 (6,48±1,25) | 4,24±0,49 (6,27±0,04) |
Вены парауретрального сплетения | 4,4±1,6 (5,4±0,24) | 5,3±0,11 (5,42±0,2) |
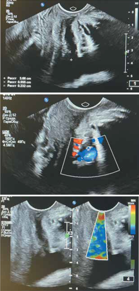
Расширение мочеиспускательного канала до 6,5 мм до лечения и нарушение кровотока в стенках по типу спазма мелких сосудов было выявлено у 38/44 (86,4%) женщин основной группы (рис. 2). После комплексной терапии с использованием БАД «Менсе» небольшое расширение мочеиспускательного канала было обнаружено у 15/44 (34,1%) пациенток, у остальных женщин мочеиспускательный канал был сомкнут (рис. 3).
Рис. 2. УЗИ мочевого пузыря, уретры, сосудов малого таза и парауретрального сплетения (пациентка основной группы до лечения)


Расширение мочеиспускательного канала до 7 мм и спазм сосудов до начала терапии были выявлены у 37/42 (88,1%) женщин контрольной группы, при этом у этих пациенток также отмечено нарушение кровотока в стенках уретры по типу ангиоспазма. Признаки расширения мочеиспускательного канала и спазма сосудов сохранялись после терапии фосфомицином.
Изменение структуры хода и состояния стенок уретры (сужение) происходит, по всей вероятности, за счет снижения выраженности ангиоспазма и уменьшения воспалительных изменений (отека) в тканях ее стенок на фоне улучшенной гемодинамики, чему способствует ряд компонентов БАД «Менсе» (витамины группы В) [31]. Кроме того, в результате активного действия фитоэстрогенов БАД запускается синтез коллагена, строительного материала всех органов и тканей, тем самым повышая эластичность тканей уретры и способность активно смыкаться. Этот положительный эффект использования фитоэстрогенов при комплексной терапии рецидивирующих циститов у женщин после наступления менопаузы также важен с позиции снижения риска «восходящей» инфекции мочевых путей.
Оценку микроциркуляции стенки мочевого пузыря проводили методом ЛДФ. При этом микроциркуляцию исследовали в слизистой оболочке стенки мочевого пузыря и слизистой уретры у 55 женщин из 86 пациенток, принявших участие в исследовании (23 пациентки из основной группы и 22 пациентки из группы контроля). Эндоскопическое исследование проводилось прежде всего с целью исключения органического поражения уретры или мочевого пузыря.
При ЛДФ стенки мочевого пузыря и слизистой уретры у пациенток обеих групп получены данные, указывающие на достоверное снижение капиллярного кровотока в тканях на фоне рецидивирующей инфекции нижних мочевых путей и менопаузы до лечения, отмечено падение перфузии тканей, а также сатурации кислорода (рис. 4).

Анализируя полученные ЛДФ-граммы, отмечено превалирование влияния симпатического тонуса нервной системы, чем объясняется спазм сосудов микроциркуляторного русла в стенке мочевого пузыря и уретры и снижение амплитуд осцилляций кровотока в нейрогенном диапазоне (0,02-0,052 Гц).
При этом миогенный компонент сосудистого тонуса микроциркуляторного русла стенки мочевого пузыря и уретры, обусловленный состоянием гладкомышечных структур сосудов, остается неизменным (диапазон 0,07-0,15 Гц). Это объясняет достаточно быстрое купирование ангиоспазма в стенках уретры у пациентов основной группы, где использовалась комплексная терапия.
Преобладание действия симпатической нервной системы, которое обуславливает сосудистую вазоконстрикцию, влечет за собой резкое снижения насыщенности кислородом тканей стенки нижних мочевых путей.
Таким образом, выявленные расстройства гемодинамики на уровне микроциркуляторного русла, а также венозный застой создают условия для дальнейшей атрофии слизистой урогенитальной зоны и возможности частого рецидивирования хронической инфекции нижних мочевых путей.
Межгрупповая сравнительная характеристика нарушений микроциркуляции в стенке мочевого пузыря и уретры выявила значимое сохранение микроциркуляторных нарушений у пациентов контрольной группы на фоне менопаузы как после 1-го месяца, так и после 6 месяцев наблюдения, по сравнению с пациентками основной группы, где в комплексной терапии применена БАД «Менсе» (рис. 5), обладающая положительным влиянием на микроциркуляцию (табл. 4).

В основной группе уменьшались клинические симптомы цистита и количество рецидивов на фоне нормализации лабораторных анализов мочи.
Микробиологическое вагинальное исследование показало резкое уменьшение количества (до 103 КОЕ/ мл) или полное отсутствие (четверть всех пациенток) молочнокислых бактерий. Условно-патогенные микроорганизмы обнаруживали у всех пациенток (стрептококки, кишечная палочка, клебсиелла), однако титр данной флоры был не выше103-105 КОЕ/ мл.
Через 1 месяц от начала лечения нормализация общих анализов мочи была установлена у 39/44 (88,6%) пациенток основной и у 27/42 (64,2%) контрольной группы.
Результаты бактериологического исследования мочи пациенток обеих групп приведены в таблицах 5 и 6.
Как видно из данных, представленных в таблицах 5 и 6, наблюдается низкий процент пациенток с бактериурией в основной группе после назначения фосфомицина и фитоэстрогенов через 6 месяцев наблюдения. В контрольной группе через 1 месяц после санации клинические проявления обострения цистита отмечены у 4/42 (9,5%) пациенток, и у 3/42 (%) зарегистрирована бессимптомная бактериурия. Возобновились проявления цистита в течение 6 месяцев у 14/42 (33,3%) пациенток, и у 12/42 (28,6%) женщин зарегистрирована бессимптомная бактериурия. Таким образом, признаки обострения цистита диагностированы у 18/42 (42,8%) пациенток контрольной группы за все время наблюдения.

Таблица 5. Мониторинг бактериологического посева мочи пациенток основной группы с использованием БАД «Менсе» (n=44)
|
Возбудитель |
Визит включения (абс. кол-во пациенток) |
1 месяц терапии (абс. кол-во пациенток) |
6 месяцев наблюдения (абс. кол-во пациенток) |
|
Escherichia coli |
18 |
2 |
2 |
|
Staphylococcus saprophyticus |
3 |
1 |
2 |
|
Staphylococcus epidermidis |
7 |
0 |
0 |
|
Staphylococcus aureus |
4 |
1 |
0 |
|
Streptococcus faecalis |
5 |
0 |
0 |
|
Proteus mirabilis |
7 |
0 |
2 |
|
Всего |
44 |
4 |
6 |
Таблица 6. Мониторинг бактериологического посева мочи пациенток контрольной группы (n=42)
Возбудитель | Визит включения | 3 месяца после терапии | 6 месяцев наблюдения |
Escherichia coli | 17 | 5 | 15 |
Staphylococcus saprophyticus. | 5 | 2 | 5 |
Staphylococcus epidermidis. | 4 | 0 | 4 |
Staphylococcus aureus. | 6 | 2 | 5 |
Streptococcus faecalis | 5 | 0 | 3 |
Proteus mirabilis | 5 | 1 | 4 |
Всего | 42 | 7 | 36 |
Что касается основной группы (n=44), получавшей после купирования цистита БАД «Менсе», рецидив хронического цистита в течение 1 месяца после лечения выявлен у 4/44 (9,1%) женщин и еще лишь у 2/44 (4,5%) пациенток в течение 6 месяцев после терапии, у 4/44 (9,1%) пациенток выявлена бессимптомная бактериурия. Следует отметить, что признаки обострения цистита диагностированы у 6/44 (13,6%) пациенток основной группы за все время наблюдения (рис. 6).

В процессе лечения БАД «Менсе» побочные эффекты выявлены не были, переносимость хорошая.
Таким образом, применение БАД «Менсе» в комплексной терапии пациенток с рецидивирующей инфекцией нижних мочевых путей на фоне климактерия уменьшает болевой синдром в урогенитальной зоне и уменьшает количество пациенток с рецидивами по сравнению с контрольной группой
Обсуждение
Низкая эффективность проводимой терапии и профилактики, а также высокая частота рецидивов инфекции мочевых путей прежде всего обусловлены недооценкой сложности этиопатогенеза развития инфекции мочевых путей, особенно у женщин в менопаузе.
Наличие урогенитальной атрофии приводит к элиминации или резкому снижению титра лактобактерий. На фоне снижения уровня лактобактерий возможна колонизация урогенитальной зоны условно-патогенными микроорганизмами (энтерококками, стрептококками, кишечной палочкой). По-видимому, это и является одним из предрасполагающих моментов к развитию инфекции мочевых путей и увеличивает частоту рецидивирующих инфекций урогенитального тракта [32].
Нормализация кровотока в органах малого таза, в том числе и вен органов малого таза, является важным фактором нормального функционирования слизистой влагалища, уретры и мочевого пузыря [33]. Хронический венозный застой крови, по мнению авторов статьи, может считаться важным патогенетическим механизмом обострения рецидивирующих инфекций нижних мочевых путей, особенно на фоне менопаузы [34].
В результате действия фитоэстрогенов БАД «Менсе» улучшилось общее состояние слизистой урогенитальной зоны; по данным ЛДФ отмечена положительная динамика на уровне микроциркуляции тканей стенки мочевого пузыря, мочеиспускательного канала, и, как показывают данные проведенной ультразвуковой допплерографии, уменьшился венозный застой крови в парауретральном сплетении и сплетениях вен органов малого таза. Фитоэстрогены и витамины, входящие в состав БАД «Менсе», оказывают комплексное действие на организм женщины в перименопаузе: изофлавоны сои, витамины группы B и Е улучшают кровоснабжение органов малого таза, уменьшают тазовую боль и явления диспареунии; витамин Е улучшает увлажнение слизистой влагалища; фолиевая кислота обладает эстрогеноподобным действием; витамин С обладает иммуномодулирующим действием, что в составе комплексной терапии приводит к значимому уменьшению числа пациенток с обострениями инфекции мочевых путей и уменьшению выраженности генитоуринарного синдрома в основной группе, по сравнению с контрольной, за 6 месяцев наблюдения [35, 36].
Кроме того, на фоне улучшения кровотока в уретре уменьшался отек, повышалась эластичность стенок, что приводило к их смыканию и предотвращению риска мочевой инфекции.
Улучшение состояния урогенитальной зоны, сокращение эпизодов цистита уменьшает хроническую тазовую боль у женщин с варикозным расширением тазовых вен, диспареунию [37, 38] и повышает качество половой жизни у женщин в пери/постменопаузе [39]. Известно, что сексуальная активность уменьшает венозный застой крови в малом тазу, улучшает кровоснабжение органов малого таза и способствует плавному снижению эстрогенов у женщин этой возрастной группы.
Заключение
Применение БАД «Менсе» в составе комплексной терапии у пациенток с рецидивирующей инфекцией нижних мочевых путей в пери- и постменопаузе не только способствовало улучшению состояния урогенитальной зоны, но и значительно снижало количество пациенток с рецидивами цистита: 6 пациенток с зарегистрированным обострением цистита в основной группе и 18 пациенток контрольной группы. Полученные данные подтверждают целесообразность использования БАД «Менсе» в составе комплексной терапии в лечении и профилактике рецидивирующей инфекции мочевых путей в климактерии.
Ограничение исследования
Авторы указывают на следующие ограничения исследования: длительность применения БАД «Менсе» в течение 1 месяца, небольшое количество пациенток основной и контрольной групп. Возможно, в дальнейшем будут проведены исследования с более длительным применением продукта у большего количества больных.
Литература/References
1. Ozer K., Horsanali M.O., Gorgel S.N., Horsanali B.O., Ozbek E. Association between benign prostatic hyperplasia and neutrophil-lymphocyte ratio, an indicator of inflammation and metabolic syndrome. Urol. Int. 2017; 98: 466-71. dx.doi.org/10.1159/000448289.
2. Раснер П.И., Пушкарь Д.Ю. Симптомы нижних мочевых путей: медикаментозное лечение симптомов фазы накопления (клиническая лекция). Consilium Medicum. 2016; 18(7): 30-6. [Rasner P.I., Pushkar D.Yu. Lower urinary tract symptoms: drug treatment accumulation phase symptoms (clinical lecture). Consilium Medicum. 2016; 18(7): 30-6. (in Russian)]. dx.doi.org/10.26442/2075-1753_2016.7.30-36.
3. Трухан Д.И., Юренев Г.Л., Макушин Д.Г., Чусова Н.А. Симптомы нижних мочевых путей: дифференциальный диагноз на этапе оказания первичной медико-санитарной помощи. Справочник поликлинического врача. 2019;
3: 23-28. [Trukhan D.I., Yurenev G.L., Makushin D.G., Chusova N.A. Lower urinary tract symptoms: differential diagnosis at the primary health care stage. Directory of the Polyclinic Doctor. 2019; (3): 23-8. (in Russian)].
4. Зайцев А.В., Перепанова Т.С., Гвоздев М.Ю., Арефьева О.А. Инфекции мочевыводящих путей. ч.1. М.; 2017. [Zaytsev A.V., Perepanova T.S., Gvozdev M.Yu., Arefieva O.A. Urinary tract infections. Part 1. Moscow; 2017. (in Russian)].
5. Зайцев А.В., Ширяев А.А., Ким Ю.А., Сазонова Н.А., Прилепская Е.А., Васильев А.О., Пушкарь Д.Ю. Инфекции мочевыводящих путей. Современная тактика врача-уролога. РМЖ. 2019; 11: 21-6. [Zaytsev A.V., Shiryaev A.A., Kim Yu.A. et al. Urinary tract infections: current management strategy. RMJ. 2019; (11): 21-6. (in Russian)]. шает хроническую тазовую боль у женщин с варикозным расширением тазовых вен, диспареу-нию [37, 38]
6. Российское общество урологов. Цистит у женщин. Клинические рекомендации. 2021. [Russian Society of Urologists. Cystitis in women. Clinical guidelines. 2021. (in Russian)].
7. Flores-Mireles A.L., Walker J.N., Caparon M., Hultgren S.J. Urinary tract infections: epidemiology, mechanisms of infection and treatment options. Nat. Rev. Microbiol. 2015; 13(5): 269-84. dx.doi.org/10.1038/nrmicro3432.
8. Ковалев Г.В., Шкарупа Д.Д., Зайцева А.О., Старосельцева О.Ю., Бородулина И.В., Калинина Д.С., Мусиенко П.Е. Особенности клеточной регуляции нижних мочевыводящих путей как причина гиперактивности мочевого пузыря и снижения эффективности медикаментозной терапии. Урология. 2020; 5: 149-56. [Kovalev G.V., Shkarupa D.D., Zaytseva A.O., Staroseltseva O.Yu., Borodulina I.V., Kalinina D.S., Musienko P.E. Cellular regulation of the lower urinary tract as a cause of the bladder overactivity and reduced efficiency of pharmacotherapy. Urology. 2020; (5): 149-56. (in Russian)]. dx.doi.org/10.18565/urology.2020.5.149-156.
9. Nomiya M., Sagawa K., Yazaki J., Takahashi N., Kushida N., Haga N. et al. Increased bladder activity is associated with elevated oxidative stress markers and proinflammatory cytokines in a rat model of atherosclerosis-induced chronic bladder ischemia. Neurourol. Urodyn. 2012; 31(1): 185-9. dx.doi.org/10.1002/nau.21191.
10. Mansfield K.J., Chen Z., Moore K.H., Grundy L. Urinary tract infection in overactive bladder: an update on pathophysiological mechanisms. Front. Physiol. 2022; 13: 886782. dx.doi.org/10.3389/fphys.2022.886782.
11. Montalbetti N., Rued A.C., Clayton D.R., Ruiz W.G., Bastacky S.I., Prakasam H.S. et al. Increased urothelial paracellular transport promotes cystitis. Am. J. Physiol. Renal Physiol. 2015; 309(12): F1070-81. dx.doi.org/10.1152/ajprenal.00200.2015.
12. Перепанова Т.С., Хазан П.Л., Казаченко А.В., Малова Ю.А. Внутрипузырное восполнение гликозаминогликанов при ведении пациентов с циститами. Экспериментальная и клиническая урология. 2019; 3: 110-7. [Perepanova T.S., Khazan P.L., Kazachenko A.V., Malova Yu.A. Intravesical replacement of glycosaminoglycans in patient management with cystitis. Experimental and Clinical Urology. 2019; (3): 110-7. (in Russian)]. dx.doi.org/10.29188/2222-8543-2019-11-3-110-117.
13. Ермакова Е.И., Балан В.Е., Тихомирова Е.В., Лазарева И.Н., Лапина А.В., Панина Е.М. Генитоуринарный менопаузальный синдром: диагностика и принципы лечения (краткие клинические рекомендации). Российский вестник акушера-гинеколога. 2017; 17(6): 89 95. [Ermakova E.I., Balan V.E., Tikhomirova E.V., Lazareva I.N., Lapina A.V., Panina E.M. Genitourinary syndrome of menopause: diagnosis and principles of treatment (brief clinical recommendations). Russian Bulletin of Obstetrician-Gynecologist. 2017; 17(6): 89 95. (in Russian)]. dx.doi.org/10.17116/rosakush201717689-95.
14. Балан В.Е., Амирова Ж.С., Ковалёва Л.А., Краснопольская И.В., Ермакова Е.И. Особенности терапии нарушений мочеиспускания у женщин в климактерии. Российский вестник акушера-гинеколога. 2015; 15(3): 29 34. [Balan V.E., Amirova Zh.S., Kovalev L.A., Krasnopol'skaia I.V., Ermakova E.I. Specific features of therapy for disordered urination in menopausal women. Russian Bulletin of Obstetrician-Gynecologist. 2015; 15(3): 29 34. (in Russian)]. dx.doi.org/10.17116/rosakush201515329-34.
15. Мозес В.Г., Ушакова Г.А. Варикозное расширение вен малого таза у женщин в основные возрастно-биологические периоды жизни. Клиника, диагностика, лечение, профилактика. М.: Эликс Ком; 2006. 104с. [Moses V.G., Ushakova G.A. Varicose veins of the pelvis in women during the main age-biological periods of life. Clinic, diagnosis, treatment, prevention. Moscow: Elix Kom; 2006. 104p. (in Russian)].
16. Ющенко А.Н. Варикозная болезнь малого таза: казуистика или распространенная болезнь? Новости медицины и фармации. 2005; 9(169): 14-6. [Yushchenko A.N. Varicose pelvic disease: casuistry or a common disease? Medical and Pharmacy News. 2005; 9(169): 14-6. (in Russian)].
17. Тапильская Н.И., Миронова А.В., Силаева Е.А., Шкарупа А.В., Глушаков Р.И. Синдром хронической тазовой боли у женщин: факторы риска, алгоритмы дифференциальной диагностики, лечения и профилактики. Проблемы репродукции. 2021; 27(2): 56 64. [Tapil’skaya N.I., Mironova A.V., Silaeva E.A., Shkarupa A.V., Glushakov R.I. Chronic pelvic pain syndrome in women: risk factors, differential diagnosis, treatment and prevention. Russian Journal of Human Reproduction. 2021; 27(2): 56 64. (in Russian)]. dx.doi.org/10.17116/repro20212702156.
18. Зайцев А.В., Шаров М.Н., Арефьева О.А., Пушкарь Д.Ю. Синдром болезненного мочевого пузыря/интерстициальный цистит: факторы прогноза клинического течения заболевания. Вестник урологии. 2018; 6(3): 26-35. [Zaitsev A.V., Sharov M.N., Arefieva O.A., Pushkar D.Yu. Interstitial cystitis / bladder pain syndrome: factors predicting the clinical course of the disease. Bulletin of Urology. 2018; 6(3): 26-35. (in Russian)]. dx.doi.org/10.21886/2308-6424-2017-6-3-26-35.
19. Балан В.Е., Ковалева Л.А. Комплексное лечение урогенитальной атрофии и рецидивирующих инфекций мочевых путей в постменопаузе. Эффективная фармакотерапия. Акушерство и гинекология. 2013; 18: 48-53. [Balan V.Ye., Kovalyova L.A. Combination treatment of urogenital atrophy and recurrent urinary tract infections in postmenopausal women. Effective Pharmacotherapy. Obstetrics and Gynecology. 2013; (18): 48-53. (in Russian)].
20. Шарипова К.К., Гатин Р.Ф., Айдарбекова А.С., Сулейменов К.Г. Расстройства мочеиспускания у женщин в климактерии. Вестник АГИУВ. 2018; 1: 47-52. [Sharipova K.K., Gatin R.F., Aydarbekova A.S., Suleimenov K.G. Urination disorders in women in climacteria. AGIUV Bulletin. 2018; (1): 47-52. (in Russian)].
21. Доброхотова Ю.Э., Ильина И.Ю., Венедиктова М.Г., Уткина М.С., Морозова К.В., Суворова В.А. Лечение генитоуринарного синдромау онко-гинекологических пациенток. РМЖ; 2017; 26: 1921-5. [Dobrokhotova Yu.E., Ilyina I.Yu., Venediktova M.G., Utkina M.S., Morozova K.V., Suvorova V.A. Treatment of genitourinary menopausal syndrome in patients with gynecologic cancer. RMJ. 2017; (26): 1921-5. (in Russian)].
22. Wuttke W, Seidlovd-Wuttke D., Gorkow C. The Cimicifuga preparation BNO 1055 vs. conjugated estrogens in a double-blind placebo-controlled study: effects on menopause symptoms and bone markers. Maturitas 2003; 44(Suppl. 1) S67-77. dx.doi.org/10.1016/s0378-5122(02)00350-x.
23. Зайдиева Я.З. Альтернативная терапия менопаузальных расстройств у женщин в климактерии. РМЖ. 2017; 12: 873-8. [Zaydieva Y.Z. Alternative therapy of menopausal disorders in women of climacterical age (literature review). RMJ. 2017; (12): 873-8. (in Russian)].
24. Ших Е.В., Гребенщикова Л.Ю. Рациональная дотация микронутриентов как способ повышения качества жизни у пациенток с климактерическим синдромом. Медицинский совет. 2017; 13: 166-71. [Shikh E.V., Grebenshhikova L.Y. A rational grant of micronutrients as a way to improve quality of life of climacteric syndrome patients. Medical Council. 2017; (13): 16671. (in Russian)]. dx.doi.org/10.21518/2079-701X-2017-13-166-171.
25. Перепанова Т.С., Козлов Р.С., Локшин К.Л. и др. Антимикробная терапия и профилактика инфекций почек, мочевыводящих путей и мужских половых органов. Федеральные клинические рекомендации. М.; 2021. [Perepanova T.S., Kozlov R.S., Lokshin K.L. et al. Antimicrobial therapy and prevention of kidney, urinary tract and male genital infections. Federal clinical guidelines. Moscow; 2021. (in Russian)].
26. Bonkat G., Bartoletti R., Bruyere F, Cai T., Geerlings S.E., Koves B. et al. EAU guidelines on urological infections. European Association of Urology; 2023.
27. Нашивочникова Н.А. Осознанный подход к выбору консервативной терапии ДГПЖ. РМЖ. Медицинское обозрение. 2022; 6(4): 187-94. [Nashivochnikova N.A. Informed method of choice concerning conservative therapy of BPH. Russian Medical Inquiry. 2022; 6(4): 187-94. (in Russian)]. dx.doi.org/10.32364/2587-6821-2022-6-4-187-194.
28. Азизов Г.А., Козлов В.И. Модуляция кровотока в системе микроциркуляции и ее расстройство при хронической венозной недостаточности. Лазерная медицина. 2003; 3: 55-60. [Azizov G.A., Kozlov V.I. Modulation of blood flow in the microcirculation system and its disorder in chronic venous insufficiency. Laser Medicine. 2003; (3): 55-60. (in Russian)].
29. Козлов В.И., Азизов Г.А., Гурова О.А., Литвин Ф.Ф. ЛДФ в оценке состояния и расстройств микроциркуляции крови. М.; 2012. [Kozlov V.I., Azizov G.A., Gurova O.A., Litvin F.F. LDF in assessing the condition and disorders of blood microcirculation. Moscow; 2012. (in Russian)].
30. Нашивочникова Н.А., Крупин В.Н., Зубова С.Ю., Леанович В.Е. Комплексная прегравидарная подготовка пациенток с хроническим рецидивирующим циститом на фоне варикозного расширения вен малого таза. РМЖ. Мать и дитя. 2022; 5(1): 11-7. [Nashivochnikova N.A., Krupin V.N., Zubova S.Yu., Leanovich V.E. Complex preparation for pregnancy of women with chronic recurrent cystitis and pelvic congestion syndrome. Russian Journal of Woman and Child Health. 2022; 5(1): 11-7. (in Russian)]. dx.doi.org/10.32364/2618-8430-2022-5-1-11-17.
31. Шавловская О.А., Бокова И.А. Эффективность витаминов группы В при разных нозологических формах. Эффективная фармакотерапия. 2023; 19(1): 40-7. [Shavlovskaya O.A., Bokova I.A. Vitamins B effectiveness in different nosological forms. Effective Pharmacotherapy. 2023; 19(1): 40-7. (in Russian)]. dx.doi.org/10.33978/2307-3586-2023-19-1-40-47.
32. Медведев М.В. Неинфекционные вагиниты — проблема 21 века. Здоровье женщины. 2016; 1: 45-8. [Medvediev M.V. Non-infectious vaginitis — a problem of the 21st century. Health of Woman. 2016; (1): 45-8. (in Russian)].
33. Неймарк А.И., Шелковникова Н.В., Непомнящих Л.М., Давыдов А.В. Особенности хронического цистита, осложненного синдромом тазовой боли у женщин с варикозным расширением вен малого таза. Экспериментальная и клиническая урология. 2014; 4: 101-4. [Neymark A.I., Shelkovnikova N.V., Nepomnyashih L.M., Davidov A.V. The peculiarities of chronic cystitis complicated with pelvic pain syndrome in women with varicose disease of the pelvic veins. Experimental and Clinical Urology. 2014; (4): 101-4. (in Russian)].
34. Гус А.И., Семендяев А.А., Ступин Д.А., Черепанова М.А., Бачурина С.М., Селецкий А.Н., Колесникова Л.И. Профилактика рецидива варикозной болезни вен малого таза у женщин. Акушерство и гинекология. 2016; 10: 103-8. [Gus A.I., Semendyaev A.A., Stupin D.A., Cherepanova M.A., Bachurina S.M., Seletsky A.N., Kolesnikova L.I. Prevention of recurrent varicose veins of the small pelvis in women. Obstetrics and Gynecology. 2016; (10): 103-8. (in Russian)]. dx.doi.org/10.18565/aig.2016.10.103-8.
35. Ших Е.В., Махова А.А. Роль аскорбиновой кислоты и токоферола в профилактике и лечении заболеваний с точки зрения доказательной медицины. Терапевтический архив. 2015; 87(4): 98 102. [Shikh E.V, Makhova A.A. Role of ascorbic acid and tocopherol in the prevention and treatment of diseases from the standpoint of evidence-based medicine. Terapevticheskii Arkhiv.2015; 87(4): 98 102. (in Russian)]. dx.doi.org/10.17116/terarkh201587498-102.
36. Тимирханова Г.А., Абдуллина Г.М., Кулагина И.Г. Витамин С: классические представления и новые факты о механизмах биологического действия. Вятский медицинский вестник. 2007; 4: 158-61. [Timirkhanova G.A., Abdullina G.M., Kulagina I.G. Vitamin C: classical ideas and new facts about the mechanisms of biological action. Vyatka Medical Bulletin. 2007;( 4): 158-61. (in Russian)].
37. Bendek B., Afuape N., Banks E., Desai N.A. Comprehensive review of pelvic congestion syndrome: Causes, symptoms, treatment options. Curr. Opin. Obstet. Gynecol. 2020; 32(4): 237-42. dx.doi.org/10.1097 GCO.0000000000000637.
38. Екимов М.В. Типология и клинические проявления оргазмических дисфункций. Сексология и сексопатология. 2003; 10: 2-11. [Yekimov M.V. Typology and clinical manifestations of orgasmic dysfunctions. Sexology and Sexopathology. 2003; (10): 2-11. (in Russian)].
39. Vitale S.G., Caruso S., Rapisarda A.M.C., Cianci S., Cianci A. Isoflavones, calcium, vitamin D and inulin improve quality of life, sexual function, body composition and metabolic parameters in menopausal women: result from a prospective, randomized, placebo-controlled, parallel-group study. Prz Menopauzalny. 2018; 17(1): 32-8. dx.doi.org/10.5114/pm.2018.73791.
Сведения об авторах:
Нашивочникова Наталья Алексеевна, к.м.н., доцент кафедры урологии им. Е.В. Шахова, ПИМУ Минздрава России, +79616354956, dom17.doctor@mail.ru, orcid.org/0000-0002-1138-1174, 603950, Россия, Нижний Новгород, пл. Минина и Пожарского, д. 10/1.
Крупин Валентин Николаевич, д.м.н., профессор, заведующий кафедрой урологии им. Е.В. Шахова, ПИМУ Минздрава России, orcid.org/0000-0002-4887-4888, 603950, Россия, Нижний Новгород, пл. Минина и Пожарского, д. 10/1.
Зубова Светлана Юрьевна, врач ультразвуковой диагностики, НОКБ им. Н.А. Семашко, +7920251511, zubova.svetlana.65@yandex.ru, orcid.org/0000-0002-9934-3868, 603950, Россия, Нижний Новгород, ул. Родионова, д. 190.
Леанович Виктория Егурбиевна, медицинский директор АО «Аквион», leanovichVE@akvion.ru, orcid.org/0000-0001-7653-797X,
123112, Россия, Москва, Пресненская наб., 8, стр. 1.
Автор, ответственный за переписку: Наталья Алексеевна Нашивочникова, dom17.doctor@mail.ru
Authors’ information:
Natalya A. Nashivochnikova, PhD, Associate Professor at the Department of Urology named after E.V. Shakhov, Privolzhsky Research Medical University, Ministry of Health of Russia, +79616354956, dom17.doctor@mail.ru, orcid.org/0000-0002-1138-1174, 603950, Russia, Nizhny Novgorod, Minin and Pozharsky sqr., 10/1.
Valentin N. Krupin, Dr. Med. Sci., Professor, Head of the Department of Urology named after. E.V. Shakhov, Privolzhsky Research Medical University,
Ministry of Health of Russia, orcid.org/0000-0002-4887-4888, 603950, Russia, Nizhny Novgorod, pl. Minin and Pozharsky sqr., 10/1.
Svetlana Yu. Zubova, doctor of ultrasound diagnostics, N.A. Semashko Nizhny Novgorod Regional Clinical Hospital, orcid.org/0000-0002-9934-3868, 603950, Russia, Nizhny Novgorod, Rodionova str., 190.
Victoria E. Leanovich, Medical director, Akvion LLC, leanovichVE@akvionru, orcid.org/0000-0001-7653-797X, 1231 12, Russia, Moscow, Presnenskaya nab., 8, build.1.
Corresponding author: Natalya A. Nashivochnikova, dom17.doctor@mail.ru