Сложности дифференциальной диагностики экстраназальной глиальной гетеротопии (клинический случай)
СтатьиА.С. Юнусов, д-р мед. наук, профессор, Е.В. Молодцова, канд. мед. наук, М.А. Дуцаева, М.А. Юнусова, А.В. Арапова
ФГБУ «Национальный медицинский исследовательский центр оториноларингологии Федерального медикобиологического агентства», г. Москва
Ключевые слова: назальная глиальная гетеротопия, экстраназальная форма, дифференциальная диагностика, дети, хирургическое лечение
Keywords: nasal glial heterotopia, extranasal type, differential diagnosis, children, surgical treatment
Резюме. Назальная глиальная гетеротопия — редкое врожденное новообразование, представляющее собой эктопию зрелой нейроглиальной ткани в околоносовую область вследствие нарушения эмбриогенеза. Целью статьи являлось осветить сложность дифференциальной диагностики экстраназальной формы назальной глиальной гетеротопии. В статье представлено клиническое наблюдение рецидива объемного образования спинки носа у пациентки 3 лет 4 мес после ранее выполненного нерадикального хирургического вмешательства. Данный случай подчеркивает обязательное проведение комплексной дооперационной лучевой диагностики, включая компьютерную томографию околоносовых пазух и магнитно-резонансную томографию головного мозга, для верификации диагноза, оценки объема поражения и исключения связи новообразования с интракраниальными структурами. Радикальное хирургическое удаление новообразования признано «золотым стандартом» лечения, обеспечивающим минимальный риск рецидива заболевания. Статья предназначена для педиатров, оториноларингологов, хирургов.
Summary. Nasal glial heterotopia is a rare congenital malformation characterized by ectopic mature neuroglial tissue in the paranasal region due to embryogenesis disruption. The aim of this study was to analyze the challenges in differential diagnosis of extranasal glial heterotopia. We present a clinical case of a 3-year 4-month-old female patient with recurrent dorsal nasal mass following previous non-radical surgical intervention. This case highlights the necessity of comprehensive preoperative radiological evaluation, including computed tomography (CT) of the paranasal sinuses and magnetic resonance imaging (MRI) of the brain, for diagnosis verification, assessment of lesion extent, and exclusion of intracranial connection. Radical surgical excision is considered the gold standard treatment, ensuring minimal risk of disease recurrence. This article is intended for pediatricians, otorhinolaryngologists, and surgeons.
Для цитирования: Сложности дифференциальной диагностики экстраназальной глиальной гетеротопии (клинический случай) / А.С. Юнусов [и др.] // Практика педиатра. 2025. № 3. С. 65-68.
For citation: Difficulties in the differential diagnosis of extranasal glial heterotopia (a clinical case) / A.S. Yunusov [et al.] // Pediatrician's Practice. 2025;(3): 65-68. (In Russ.)
Назальная глиальная гетеротопия представляет собой доброкачественное узловое образование, гистологически состоящее из зрелой нейроглиальной ткани, локализованное в полости носа или околоносовой области [1, 2].
С точки зрения эмбриогенеза данная патология является врожденной мальформацией, возникающей вследствие аберрации процесса развития переднего отдела нервной трубки. По данным ряда авторов, отщепление фрагментов глиальной ткани от лобных долей головного мозга происходит в пренатальном периоде с последующей их эктопией через дефекты решетчатой кости, такие как foramen caecum или lamina papyracea [3]. Энцефалоцеле представляет собой вариант мозговой грыжи. При данной врожденной патологии нервная ткань пролабирует через дефект черепа, распространяясь экстракраниально, разрушает структуры головного мозга. Главным отличительным признаком назальных глиальных гетеротопий является отсутствие связи с интракраниальными структурами, что исключает наличие дефектов структуры черепа.
Указанные патогенетические особенности - отсутствие связи с субарахноидальным пространством и зрелый гистологический состав эктопированной ткани - позволяют классифицировать данное образование как глиальную хористому и дифференцировать его от истинных новообразований и черепно-мозговых грыж (менинго или энцефалоцеле) [3, 4]. Тем не менее термин «секвестрированное энцефалоцеле», встречающийся в ряде источников, подчеркивает общность эмбриологического происхождения этих двух нозологий [3, 5].
По данным литературы, назальные глиальные гетеротопии не подвергаются злокачественному перерождению. В 60% случаев выявляется подкожная форма, внутриносовые и смешанные формы - в 30% и 10 % соответственно [6].
Основными жалобами пациентов при экстраназальной форме является видимое деформирующее образование в околоносовой области. При интраназальной локализации возникает затруднение носового дыхания, что клинически может проявляться цианозом кожных покровов, дисфагией при кормлении, нарушением сна [5, 6].
Назальная глиальная гетеротопия характеризуется медленным, неагрессивным ростом, коррелирующим с ростом ребенка. Манифестация симптомов обычно происходит в периоде новорожденности или в раннем возрасте, что и обусловливает обращение за медицинской помощью.
Ярким примером в нашей практике стал клинический случай назальной глиальной гетеротопии, ранее прооперированной в другом лечебном учреждении.
Пациентка К., 3 года 4 мес, поступила с жалобами на затрудненное носовое дыхание, припухлость спинки носа справа, синюшность новообразования спинки носа при рините, постоянную заложенность носа, кратковременный эффект от сосудосуживающих капель, гнусавость голоса, частые респираторные заболевания, сухость во рту, слабость, капризность и беспокойный поверхностный сон. Девочка от второй беременности, осложненной угрозой прерывания и наследственной тромбофилией у матери, родилась в сроке на 40-й неделе с массой 2780 г, длиной 53 см. Находилась на грудном вскармливании до 4 мес, психофизическое развитие соответствует возрасту.
Из анамнеза заболевания известно, что при интранатальном скрининге было диагностировано новообразование полости носа (подозрение на гемангиому). После рождения диагноз был исключен, а при осмотре определялось опухолевидное новообразование параорбитальной области справа (рис. 1).
Рис. 1. Внешний вид ребенка до первого хирургического вмешательства
Затем ребенок находился под наблюдением у врача-оториноларинголога по месту жительства, в динамике отмечался медленный рост образования наружного носа и пульсация. При выполнении УЗИ мягких тканей носа в параорбиталь-ной области справа визуализируется опухолевидное образование мягко-эластичной консистенции, безболезненное, кожа над ним не изменена, размеры около 15 x 14 мм. Заключение УЗИ: УЗ-признаки кистозного вида солидного включения с гетерогенным аваскулярным содержимым, размеры 15 х 14 х 7,6 мм. В 6 мес пациентке была проведена операция в частном центре. Со слов матери, патоморфологического заключения в бумажном виде не выдали на руки, сообщили посредством телефонной связи, что по гистологическому исследованию верифицирована фиброма наружного носа. Через полгода после первого хирургического лечения родители стали отмечать увеличение образования и возобновление жалоб на затруднение носового дыхания. Выполнены МРТ ГМ и КТ ОНП в условиях общей анестезии. На компьютерной томограмме ОНП выявлены кт-признаки костного дефекта носовых костей (область переносицы) с наличием капсульного кистозного образования, с пролабированием в правый носовой ход и значительной деформацией носовой перегородки, дифференцировать с эпидермальной кистой. Минимальные катаральные изменения единичных передних этмоидальных клеток слева. Аденоиды 2-3 степени (рис. 2).
Рис. 2. Компьютерная томограмма ОНП пациентки К. до хирургического лечения: а - коронарная проекция; б - аксиальная проекция; в - 3D-реконструкция
По данным МРТ головного мозга выявлены признаки кистозного образования полости носа и ОНП справа (рис. 3).
Рис. 3. МРТ ГМ пациентки К. на догоспитальном этапе: а - коронарная проекция; б - аксиальная проекция; в - сагиттальная проекция

При осмотре наружного носа определяется его деформация за счет недоразвития носовых костей (рис. 4), при риноскопии: перегородка носа значительно искривлена влево в хрящевом и костных отделах за счет компрессионного воздействия новообразования полости носа справа.
Рис. 4. Внешний вид ребенка перед вторым хирургическим вмешательством
Сосудистое сплетение зоны Kisselbachi не расширено. Дыхание через нос затруднено. Слизистая оболочка полости носа розовая, чистая, не отечна; справа - визуализируется образование бледно-розового цвета, округлой формы, мягкой консистенции, интактное при воздействии инструментом, обтурирующее общий и средний носовые ходы (рис. 5), слева - общий носовой ход необозрим в связи с искривлением перегородки носа. Области проекции околоносовых пазух визуально не изменены, при пальпации и перкуссии безболезненны.
Рис. 5. Эндоскопическая фотография образования правой половины носа до хирургического лечения: а - образование сдавливает нижнюю носовую раковину; б - место крепления образования в правой половине полости носа
Девочке было выполнено хирургическое вмешательство под общим эндотрахеальным наркозом. Первым этапом произведена эндоскопическая аденотомия, затем произведена диагностическая пункция образования с аспирацией 2,5 мл содержимого (направлено на цитологическое исследование).
Комбинированным доступом (эндоназально и через наружный доступ) произведена отсепаровка и тотальное удаление новообразования единым блоком через костный дефект спинки носа. Выполнена реконструкция костных структур спинки носа. Рана ушита послойно рассасывающимся шовным материалом.
При макроскопическом исследовании удаленный препарат представлен фрагментом ткани плотноэластической консистенции.
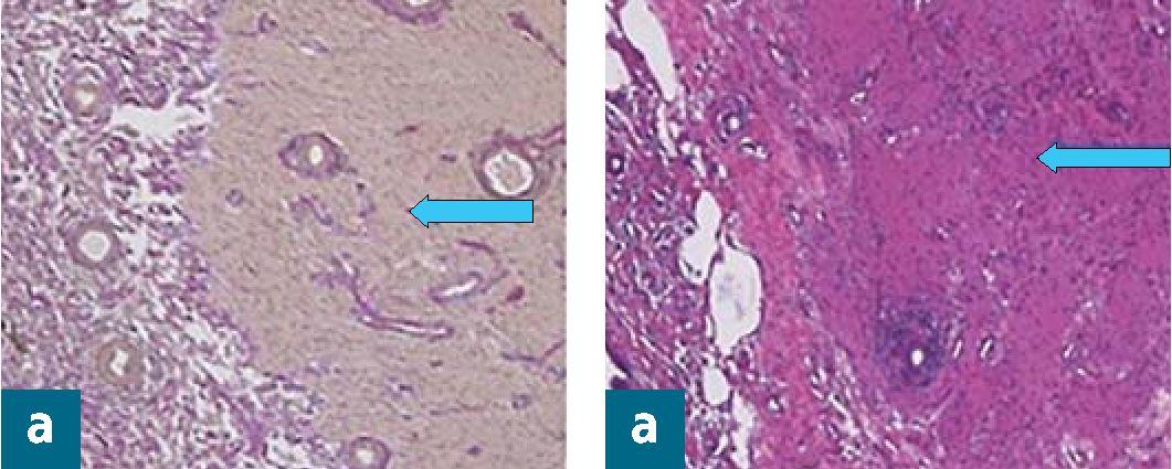
При гистологическом исследовании обнаружены участки зрелой глиальной ткани, окруженные фиброзной капсулой. Также визуализируются фрагменты слизистой оболочки, выстланной многорядным мерцательным эпителием и многослойным плоским неороговевающим эпителием, с наличием серозно-слизистых желез. При окраске по Ван-Гизону выявляются очаги, проявляющие пикринофилию (окрашиваются в желто-зеленый цвет). Морфологическая картина соответствует глиальной гетеротопии (рис. 6).
Рис. 6. Гистологическая картина удаленного образования: а - окрашивание очагов белого вещества в желто-зеленый цвет (пикринофилия), окраска по Ван-Гизону. Ув. 5: б - фрагмент слизистой оболочки с полями белого вещества головного мозга, окраска гематоксилином и эозином. Ув. 5, (стрелкой указано белое вещество)
Цитологическое исследование аспирата показало наличие геморрагического содержимого без признаков клеточной атипии.
Послеоперационный период пациентки К. протекал без осложнений. Послеоперационная рана заживала первичным натяжением, признаков воспаления не отмечалось. Диастаза краев раны нет (рис. 7).
Рис. 7. Внешний вид пациентки: а - перед выпиской; б - через 1 месяц после операции
Дыхание через нос справа не затруднено, слева - затруднено из-за девиации перегородки носа влево за счет компрессионного воздействия.
Пациентка находится под наблюдением оториноларинголога по месту жительства.
Выводы
Представленное клиническое наблюдение демонстрирует сложности диагностики назальной глиальной гетеротопии, обусловленные ее редкостью и полиморфной клинической картиной. Первоначально неверная интерпретация новообразования как фибромы и нерадикальное удаление привели к рецидиву заболевания, что подчеркивает необходимость проведения на этапе первичной диагностики комплекса лучевых методов исследований (КТ ОНП и МРТ ГМ) для оценки связи новообразования с головным мозгом и состояния костных структур.
Хирургическое вмешательство является единственным радикальным методом лечения назальной глиальной гетеротопии. Оптимальным подходом, продемонстрировавшим свою эффективность в данном случае, является применение комбинированного (наружного и эндоскопического) доступа, обеспечивающего полную визуализацию, мобилизацию и удаление эктопированной ткани с одновременной реконструкцией спинки носа.
Окончательная верификация диагноза назальной глиальной гетеротопии возможна только на основании гистологического исследования.
Данное наблюдение подтверждает, что, несмотря на доброкачественный характер и медленный рост, назальная глиальная гетеротопия может вызывать значительные функциональные (стойкое нарушение носового дыхания) и эстетические нарушения, требующие проведения своевременного и адекватного хирургического лечения для предотвращения рецидивов и обеспечения нормального развития ребенка. Своевременное проведение хирургического лечения позволяет избежать формирования выраженных костных дефектов, связанных с прогрессирующим увеличением объема новообразования.
Литература
1. Mills S.E., Stelow E.B., Hunt J.L. Neural, neuroendocrine and neuroectodermal neoplasia. In: Silverberg SG, ed. AFIP atlas of Tumor pathology // Tumors of the Upper Aerodigestive Tract and Ear. Silver Spring, Maryland American Registry Press, 2012; series 4, fascicle 17. P. 173 -260.
2. Brandwein-Gensler M., Thompson L.D.R. Non-neoplastic lesions of the nasal cavity, paranasal sinuses and nasopharynx. In: Goldblum JR, ed, Thompson LDR, series ed. // Head and neck pathology. Churchill Livingstone-Elsevier. 2006. P. 89-96. DOI: 10.1016/b978-1-4377-2607-7.00010-5.
3. Nasal glioma and encephalocele: diagnosis and management / R. Rahbar [et al.] // Laryngoscope. 2003. Vol. 113, No. 12. P. 20692077. DOI: 10.1097/00005537-200312000-00003.
4. A rare case of nasal glioma in adult age / E. Pasquini, G. Farneti, G. Giausa, M. Biavati // Otolaryngology-Head and Neck Surgery. 1998. Vol. 118, No. 6. P. 905-906. DOI: 10.1016/s0194-5998(98)70297-9.
5. Клинико-морфологическая характеристика назальной глиальной гетеротопии / В.П. Быкова [и др.] // Архив патологии. 2017. Т. 79, № 5. С. 38-42. DOI: 10.17116/patol201779538-42.
6. Молодцова Е.В., Юнусов А.С., Поляков Д.П. Назальная глиальная гетеротопия у детей : обзор литературы и серия собственных наблюдений // Вестник оториноларингологии. 2025. Т. 90, № 4. С. 58-63. DOI: 10.17116/otorino20259004158.
Комментарии
ПРАКТИКА ПЕДИАТРА