Эндоскопия в диагностике и хирургии трубных миндалин у детей с нарушением слуховой функции
СтатьиИ.В. Рахманова1, 2, д-р мед. наук, профессор, Р.В. Котов2, канд. мед. наук, М.М. Полунин1, 2, д-р мед. наук, профессор, Н.Н. Богатырёва2, А.И. Петухова1, В.В. Быконя1
1 ФГАОУ ВО «РНИМУ им. Н.И. Пирогова Минздрава России», Кафедра оториноларингологии института хирургии, г. Москва
2 ГБУЗ «Морозовская детская городская клиническая больница Департамента здравоохранение г. Москвы»
Ключевые слова: гипертрофия трубных миндалин (миндалина Герлаха), кондуктивная тугоухость, экссудативный средний отит, эндоскопическая аденотомия
Keywords: tubal tonsil hypertrophy, Gerlach’s tonsil, conductive hearing loss, secretory otitis media, endoscopic adenoidectomy
Резюме. Гипертрофия носоглоточной миндалины остается одной из ключевых проблем детской оториноларингологии, приводит к нарушению слуха, экссудативному среднему отиту и снижению качества жизни. Однако роль трубных миндалин (миндалин Герлаха) в развитии кондуктивной тугоухости изучена недостаточно, что определяет необходимость их комплексного исследования. Цель: Оценить влияние гипертрофированных трубных миндалин на слуховую функцию у детей и повысить эффективность хирургического лечения. Материалы и методы: Проведен проспективный анализ 220 пациентов (2-13 лет) с гипертрофией аденоидов II-III степени и блоком глоточных устьев слуховых труб. Основной группе пациентов (124 ребенка) проведена эндоскопическая шейверная аденотомия с лазерной деструкцией трубных миндалин, контрольной (96 детей) - только аденотомия. Диагностика включала эндоскопию носоглотки, тональную пороговую аудиометрию, тимпанометрию и КТ височных костей. Морфологически исследованы ткани носоглоточной и трубных миндалин. Результаты: 1. У 90% детей выявлены тимпанограммы типа «В» и «С», у 73% - кондуктивная тугоухость I-II степени. 2. После операции в основной группе слух восстановился у 100% пациентов, в контрольной - лишь у 76% (через два месяца). У 23,9% детей контрольной группы сохранялся блок глоточных устьев слуховых труб трубными миндалинами, потребовавший повторного вмешательства. 3. Гистологически трубные миндалины отличались фолликулярной гиперплазией лимфоидной ткани, в отличие от смешанного типа гиперплазии в носоглоточной миндалине. Выводы: 1. Гипертрофия трубных миндалин - значимый фактор кондуктивной тугоухости у детей, требующий обязательной эндоскопической оценки. 2. Комбинированное хирургическое лечение (аденотомия + лазерная деструкция) обеспечивает полное восстановление слуха, тогда как изолированная аденотомия менее эффективна. 3. Морфологические особенности миндалин Герлаха объясняют их роль в обструкции слуховых труб и хронизации экссудативного среднего отита.
Summary. Hypertrophy of the pharyngeal tonsil (adenoids) remains a key issue in pediatric otorhinolaryngology, leading to hearing impairment, secretory otitis media, and reduced quality of life. However, the role of tubal tonsils (Gerlach’s tonsils) in the development of conductive hearing loss remains understudied, necessitating comprehensive research. Objective: To evaluate the impact of hypertrophied tubal tonsils on auditory function in children and improve the efficacy of surgical treatment. Materials and Methods: A prospective analysis of 220 patients (aged 2-13 years) with grade II-III adenoid hypertrophy and obstruction of the pharyngeal orifices of the auditory tubes was conducted. The main group (124 children) underwent endoscopic microdebrider adenoidectomy with laser ablation of tubal tonsils, while the control group (96 children) received adenoidectomy alone. Diagnosis included nasopharyngeal endoscopy, pure-tone audiometry, tympanometry, and CT of the temporal bones (when indicated). Histopathological examination compared pharyngeal and tubal tonsil tissues. Results: 1. 90% of children exhibited type "B" or "C" tympanograms, and 73% had grade I-II conductive hearing loss. 2. Postoperative hearing recovery was achieved in 100% of the main group but only 76% of controls (by 2 months). In 23.9% of controls, persistent obstruction by tubal tonsils required revision surgery. 3. Histologically, tubal tonsils showed follicular lymphoid hyperplasia, contrasting with the mixed hyperplasia pattern of the pharyngeal tonsil. Conclusions: 1. Tubal tonsil hypertrophy is a significant contributor to conductive hearing loss in children, mandating endoscopic evaluation. 2. Combined surgery (adenoidectomy + laser ablation) ensures full hearing restoration, whereas isolated adenoidectomy is less effective. 3. The distinct morphology of Gerlach’s tonsils explains their role in eustachian tube dysfunction and chronic otitis media.
Для цитирования: Эндоскопия в диагностике и хирургии трубных миндалин у детей с нарушением слуховой функции / И.В. Рахманова [и др.] // Практика педиатра. 2025. № 3. С. 45-48.
For citation: Endoscopy in the diagnosis and surgery of tubal tonsils in children with impaired auditory function / I.V. Rakhmanova [et al.] // Pediatrician's Practice. 2025;(3): 45-48. (In Russ.)
ВВЕДЕНИЕ
В настоящее время гипертрофия носоглоточной миндалины остается актуальной проблемой в детской оториноларингологии, особенно у детей дошкольного возраста в связи со снижением качества жизни ребенка, риском развития осложнений [1-4]. По данным статистики на 2024 г., около 35% детей страдают данной патологией [5, 6]. При этом патологическом состоянии воспалительный процесс охватывает все отделы среднего уха (барабанная полость, сосцевидный отросток, слуховая труба), что приводит к дисфункции слуховой трубы, скоплению экссудата в барабанной полости и длительному нарушению слуховой функции. Как правило, главенствующее место в патологическом процессе отводится гипертрофии носоглоточной миндалины, в то время как трубные миндалины остаются недообследованными за «кадром» [3]. Надо отметить, что в литературе миндалины Герлаха остаются малоизученными и не упоминаются в протоколах эндоскопического исследования носоглотки [7].
Учитывая вышесказанное, была сформулирована цель исследования.
Цель исследования - оценить влияние гипертрофированных трубных миндалин на слуховую функцию у детей и повысить эффективность хирургического лечения.
Материалы и методы: Дизайн исследования - проспективный анализ обследованных и прооперированных больных с гипертрофией аденоидных вегетаций, трубных миндалин и блоком глоточных устьев слуховых труб. Работа выполнялась на базе кафедры оториноларингологии института хирургии Российского национального исследовательского медицинского университета им. Н.И. Пирогова и Морозовской детской городской клинической больницы: консультативно-диагностического центра, оториноларингологического стационара и патологоанатомического отделения.
Методологическая база исследования - комплексное применение инструментальных методов исследования (эндоскопия носоглотки, тональная пороговая аудиометрия, тимпанометрия, компьютерная томография (КТ) височных костей при необходимости).
Работа включала четыре этапа исследования: I этап -клинический, II - диагностический, III - аудиологический, IV - хирургический и V этап - морфологический.
Проведен анализ результатов обследования 220 пациентов с гипертрофией аденоидных вегетаций II-III степени в сочетании с гипертрофией трубных миндалин и блоком глоточных устьев слуховых труб в возрасте от 2 до 13 лет, из них 107 (48,6%) мальчиков и 113 (51,4%) девочек.
Основную группу составили 124 (56,4%) ребенка. Контрольная группа представлена 96 (43,6%) детьми, сопоставимыми по возрасту и полу с основной группой. Дети дошкольного возраста от 3 до 6 лет составили группу в 160 (72,7%) человек; младший школьный возраст (от 7 до 11 лет) представлен 45 (20,5%) детьми; в группу старшего школьного возраста вошли 15 (6,8%) детей от 12 до 13 лет.
Критерии включения пациентов: возраст от 3 до 13 лет, наличие жалоб на снижение слуха, заложенность носа, затрудненное носовое дыхание, ночное апноэ, экссудативный средний отит, отсутствие аденотомий или другого оперативного лечения в анамнезе (патология носа, носоглотки).
Критерии исключения: наличие аллергического ринита (поллиноз), заболевание ОРВИ, повышение температуры, детские инфекции, серная пробка, острый средний и наружный отиты, обострение хронического гнойного среднего отита, пациенты с рецидивом аденоидных вегетаций.
Обязательным условием было согласие родителей на участие в исследовании.
Диагноз устанавливался на комплексном обследовании пациентов:
1. Первоначально на жалобах родителей пациентов.
2. Далее всем пациентам выполнен стандартный оториноларингологический осмотр: передняя риноскопия, фарингоскопия, отоскопия и отомикроскопия.
3. Помимо классического осмотра ЛОР-органов, выполнялось видеоэндоскопическое исследование полости носа и носоглотки. При осмотре носоглотки оценивали степень увеличения носоглоточной миндалины, характер секрета и его количество на поверхности миндалины. Также проводили оценку состояния трубных миндалин и визуализацию глоточных устьев слуховых труб.
4. Аудиологическое исследование включало тимпанометрию и тональную пороговую аудиометрию. Тимпанометрия выполнялась на приборе GSI Tymp Star, тональную пороговую аудиометрию проводили на аудиометре GSI (Grason-Stadler) 61 Clinical Audiometer (в сурдокамере). Исследование выполняли до оперативного лечения и через 1, 2 и 3 мес после операции. Оценивали средние значения порогов костного и воздушного проведения на частотах разговорного диапазона до оперативного вмешательства и через месяц после. Для распределения пациентов по степени снижения слуха применяли стандартную международную классификацию (усредненный порог слышимости воздушного звукопроведения на частотах 500, 1000, 2000 и 4000 Гц): I степень - 26-40 дБ; II степень - 41-55 дБ; III и IVстепени, а также глухота в нашем исследовании не встречались. Хорошим результатом аудиологического исследования считали воздушное проведение не более 20 дБ, костное проведение не более 10дБ.
5. КТ височных костей назначали при наличии хронического экссудативного среднего отита.
РЕЗУЛЬТАТЫ ИССЛЕДОВАНИЯ
I этап исследования: Клинический
Основной жалобой у пациентов с гипертрофией носоглоточной миндалины как II, так и III степени в сочетании с гипертрофией трубных миндалин было затруднение носового дыхания, постоянно открытый рот, аденоидный тип лица, заложенность носа, гнусавость, храп по ночам, длительный насморк, ночной энурез и апноэ, экссудативный и острый средний катаральный отиты, снижение слуха, шум в ушах.
Затруднение носового дыхания носило, как правило, стойкий характер, что обусловлено механической обструкцией просвета хоан гипертрофированной лимфоидной тканью.
Отоскопия: всегда определялась втянутость и утолщение барабанных перепонок, мутный цвет с укороченным световым рефлексом, что было обусловлено дисфункцией слуховых труб.
У 95 (43%) пациентов за барабанной перепонкой визуализировался экссудат.
II этап исследования: Диагностический
Эндоскопическое исследование носа и носоглотки проводилось преимущественно с применением гибкой оптики фирмы Heinemann с углом обзора 0°, диаметром 2,8 мм. Эндоскопия носоглотки выявила у всех детей гипертрофию аденоидных вегетаций III степени с блоком глоточных устьев слуховых труб и гипертрофию трубных миндалин, на поверхности миндалин определялся слизисто-серозный секрет. Трубные миндалины прикрывали глоточные устья слуховых труб или наблюдалась их полная обструкция (рис. 1).
Рис. 1. Эндоскопическая картина носоглотки ребенка П. 4 лет. 1 - трубные миндалины с блоком глоточных устьев слуховых труб, 2 - носоглоточная миндалина

Рис. 2. К. 6 лет. ТПА. Двусторонняя кондуктивная тугоухость I степени

Рис. 3. Д. 6 лет. Тимпанограмма -тип С на правое ухо

Рис. 4. Д. 6 лет. Тимпанограмма - тип В на левое ухо

Рис. 5. В. 6 лет. Тимпанометрия - тип А на оба уха

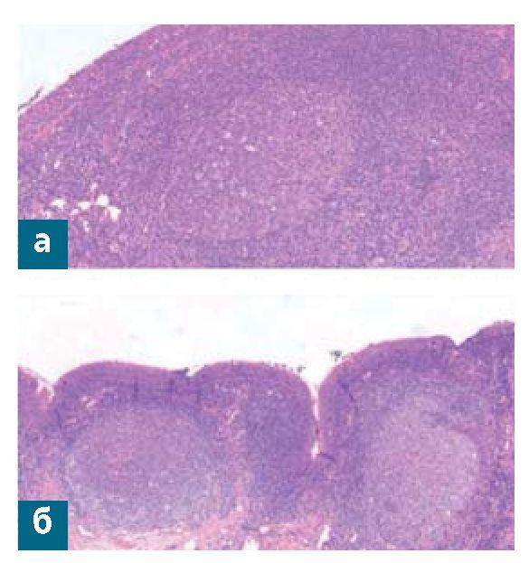
Рис. 6. Гистоархитектоника носоглоточной миндалины (а) и трубной миндалины (б). Стрелкой показаны криптоподобные структуры. Окраска гематоксилин-эозин. Обзорное увеличение

Рис. 7. Гистоархитектоника носоглоточной миндалины (а) и трубной миндалины (б). а - смешанный тип гиперплазии носоглоточной миндалины; б - фолликулярная гиперплазия лимфоидной ткани (фолликулярные центры). Окраска гематоксилин-эозин, увел. х 20

III этап исследования: Аудиологический
Пороги воздушной и костной проводимости определяли с использованием стандартных методик. По данным тональной пороговой аудиометрии, у 55 (25%) детей выявлена двустороння и у 106 (48%) пациентов односторонняя кондуктивная тугоухость 1-2 степени (рис. 2). У 198 (90%) детей, по данным тимпанометрии, определялась тимпано-грамма тип «С» или «В» на оба уха (рис. 3, 4). Средние пороги слуха были выше в ушах с тимпанограммой тип «В» в особенности при наличии экссудата в барабанной полости.
IV этап исследования -Хирургический
Всем пациентам основной группы в условиях интубационного наркоза под контролем жесткого эндоскопа 70°, d = 4 мм проведена эндоскопическая шейверная аденотомия с лазерной деструкцией трубных миндалин полупроводниковым хирургическим лазером Biotec с длиной волны 980 нм. Тимпанотомия проведена 70 (56%) детям, а при выраженном компоненте кондуктивной тугоухости в сочетании с экссудативным средним отитом 25 (20%) пациентам выполнено шунтирование барабанной полости.
Всем пациентам контрольной группы выполнялась только эндоскопическая шейверная аденотомия.
В послеоперационном периоде носовое дыхание у всех пациентов полностью восстановлено. Отоскопическая картина показала, что в основной группе детей барабанные перепонки серого цвета, опознавательные знаки контурируются, а в контрольной группе остается втянутость барабанных перепонок. Всем пациентам как основной, так и контрольной группы проведено аудиологическое исследование повторно, через месяц после оперативного вмешательства.
В основной группе тимпанометрия тип «А» на оба уха регистрировалась у всех пациентов, тональная пороговая аудиометрия показала, что слуховая функция в пределах нормы на оба уха и слух полностью восстановился через 1,5-2 мес после оперативного вмешательства (рис. 5).
В то время как в контрольной группе в послеоперационном периоде через месяц нормализация тимпанограммы отмечалась только у 10 (10,4%) человек из 96 прооперированных, через два месяца у 73 (76%) детей. Необходимо отметить, что тимпанометрия носила флюктуирующий характер. Повторная эндоскопия носоглотки потребовалась 23 (23,9%) детям, где был выявлен блок глоточных устьев слуховых труб трубной миндалиной. Пациентам назначено консервативное лечение и физиотерапия. У шести (6%) пациентов слуховая функция не нормализовалась и им было показано повторное хирургическое вмешательство. У данной группы пациентов при эндоскопическом исследовании диагностировался блок глоточных устьев слуховых труб скоплением лимфоидной ткани с обеих сторон гипертрофированными трубными валиками. Отоскопия показала, что барабанные перепонки оставались втянутыми, мутными, опознавательные знаки выражены нечетко, тимпанограмма тип «В». Больным выполнено повторное хирургическое вмешательство - лазерная деструкция трубных миндалин. Через два месяца после повторного хирургического вмешательства слуховая функция нормализовалась, устья слуховых труб четко визуализировались.
V этап исследования: Морфологический
У всех оперированных пациентов основной группы конхотомом с круглым отверстием № 1, 2 взят биопсийный материал из носоглоточной и трубных миндалин во время аденотомии, для проведения сравнительного анализа гистоархитектоники миндалин. Исследование биопсийного материала выполняли в патоморфологическом отделении Морозовской детской городской клинической больницы.
При гистологическом исследовании выявлены различия в строении и гистоархитектонике носоглоточной и трубных миндалин. В отличие от солидного строения глоточной миндалины (рис. 6), ткань трубных миндалин представлена лимфоидными фолликулами, располагающимися в виде скоплений, часто интимно прилегающих к железам слизистой оболочки и имеющим тенденцию к формированию криптоподобных структур (рис. 7). Клеточный состав лимфоидной ткани идентичен - наблюдались гиперплазированные вторичные лимфоидные фолликулы, парафолликулярно малые лимфоциты с примесью плазмоцитов, единичных элементов гистиоцитарного ряда и/или активированных В-клеток.
Обсуждение: Длительное лечение аденоидных вегетаций, включающее проведение многочисленных курсов медикаментозного лечения и физиотерапии, приводит к хронизации процесса, нарушению слуховой функции, которую не оценивают в большинстве случаев. Хронизация процесса приводит к развитию экссудативного среднего отита, в дополнение к нему может присоединяться острый средний катаральный и гнойный отиты, учитывая наличие первичного очага инфекции. Главным в диагностике расположения носоглоточной миндалины и ее взаимоотношения с устьем слуховых труб и трубными миндалинами является эндоскопия носоглотки.
ВЫВОДЫ
1. Дети с длительным затруднением носового дыхания, ночным апноэ должны незамедлительно направляться к оториноларингологу для эндоскопического исследования носоглотки.
2. Проведенное исследование подтвердило значимость эндоскопии носоглотки именно в сочетании с аудио-логическим исследованием, что нужно учитывать при разработке консервативных протоколов лечения и объема хирургического вмешательства.
3. При блоке глоточных устьев слуховых труб миндалиной Герлаха нарушается слуховая функция, то есть развивается кондуктивная тугоухость, что в раннем детском возрасте приводит к задержке формирования речи, а у детей старшего возраста - к нарушению восприятия устной речи.
4. Морфологическая структура трубных миндалин представлена фолликулярным типом гиперплазии лимфоидной ткани, что отличает ее от носоглоточной миндалины, где имеется смешанный тип гиперплазии лимфоидной ткани.
5. Проведенное комплексное исследование позволило по-новому взглянуть на структуру трубных миндалин (миндалины Герлаха) и их влияние на слуховую функцию.
Литература
1. Durgut O., Dikici O. The effect of adenoid hypertrophy on hearing thresholds in children with otitis media with effusion // International Journal of Pediatric Otorhinolaryngology. 2019. Vol. 124. P. 116-119. DOI: 10.1016/j.ijporl.2019.05.046.
2. Разаков Б.Ю. Переходящий аденоидит у детей // Мировая наука. 2024. № 3. С. 84.
3. Болезни уха, горла, носа в детском возрасте : национальное руководство : краткое издание / под ред. М.Р. Богомольского, В.Р. Чистяковой. М. : ГЭОТАР-Медиа, 2019. 544 с.
4. К вопросу о лечении экссудативного среднего отита в детском возрасте / А.И. Крюков [и др.] // Вестник оториноларингологии. 2020. Т. 85, № 1. С. 14-21.
5. Полунин М.М., Чернова О.В. Лечение экссудативного среднего отита у детей раннего возраста с учетом анатомических особенностей слуховой трубы // Вестник оториноларингологии. 2020. Т. 85, № 1. С. 10-13.
6. Гипертрофия аденоидов. Гипертрофия небных миндалин : Национальная медицинская ассоциация оториноларингологов : клинические рекомендации Минздрава России 662. 2024.
7. Коваленко С.Л., Лазарева Л.А., Азаматова С.А. Эффективность препаратов биорегуляционной медицины при лечении экссудативного среднего отита, сопряженного с риносинуситом и аденоидитом // Вестник оториноларингологии. 2023. Т. 88, № 3. С. 13-20.